- •Содержание contents
- •Онкологические заболевания органов мочеполовой системы
- •1.1. Эпидемиология
- •1.2. Этиология, факторы риска
- •1.3. Профилактика
- •1.4. Скрининг
- •1.5. Топографическая и клиническая анатомия предстательной железы
- •1.6. Патоморфологическая характеристика рака предстательной железы
- •1.7. Экстрапростатическое распространение опухоли
- •1.8. Международная классификация рака предстательной железы по системе tnm
- •1.9. Диагностика рака предстательной железы
- •1.9.1. Методы диагностики отдаленных метастазов
- •1.9.2. Диагностика и степень распространенности опухолевого процесса
- •1.9.3. Клинические проявления ограниченного и местно распространенного рака предстательной железы
- •1.10. Клинические проявления диссеминированного рака предстательной железы
- •1.11. Оценка степени распространенности рака предстательной железы
- •1.12. Прогноз
- •1.13. Лечение рака предстательной железы
- •1.13.1. Выжидательная тактика
- •1.13.2. Радикальная простатэктомия
- •1.13.3. Неоадъювантная гормонотерапия
- •1.13.4. Адъювантная гормонотерапия
- •1.13.6. Альтернативные методы лечения локализованного рака предстательной железы
- •1.14. Контрольные вопросы
- •1.15. Тестовые задания
- •1.16. Рекомендуемая литература
- •2.1. Эпидемиология
- •2.2. Факторы риска
- •2.3. Патоморфологическая характеристика рака яичка
- •2.4. Клинические проявления
- •2.5. Диагностика рака яичка
- •Уровень хгт и альфа-фп в зависимости от нозологической формы опухоли яичка
- •2.6. Международная классификация рака предстательной железы по системе tnm
- •2.7. Лечение рака яичка
- •2.8. Контрольные вопросы
- •2.9. Тестовые задания
- •2.10. Рекомендуемая литература
- •3.1. Эпидемиология
- •3.2. Патоморфологическая характеристика рака яичка
- •3.3. Диагностика рака яичка
- •3.3.1. Рекомендации по диагностике рака полового члена
- •3.4. Международная классификация рака полового члена по системе tnm
- •3.5. Лечение рака полового члена
- •3.5.1. Первичная опухоль
- •3.5.2. Регионарные метастазы
- •3.5.3. Рекомендации по лечению рака полового члена
- •3.5.4. Качество жизни
- •3.5.5. Технические аспекты оперативного лечения рака полового члена
- •3.5.6. Химиотерапия
- •3.5.7. Прогностические факторы
- •3.6. Диспансеризация
- •3.6.1. Рекомендации по диспансеризации больных раком полового члена
- •3.7. Контрольные вопросы
- •3.8. Тестовые задания
- •3.9. Рекомендуемая литература
- •4.1. Эпидемиология
- •4.2. Этиология и патогенез
- •4.3. Патоморфологическая характеристика рака почки
- •4.4. Метастазирование рака почки
- •4.5. Спонтанная регрессия
- •4.6. Диагностика рака почки
- •4.7. Дифференциальная диагностика рака почки
- •4.8. Клинические проявления рака почки
- •4.9. Классификация рака почки
- •4.10. Прогноз
- •4.11. Хирургическое лечение рака почки
- •4.11.1. Хирургическое лечение локального рака почки
- •4.11.2. Выбор хирургического доступа
- •4.11.3. Хирургическое лечение местно распространенного рака почки
- •I. Опухолевое распространение на магистральные сосуды
- •II. Опухолевое распространение на соседние органы
- •III. Хирургическое лечение отдаленных метастазов
- •4.11.4. Паллиативные хирургические вмешательства
- •4.11.5. Осложнения при хирургическом лечении рака почки
- •4.11.6. Органосохраняющее лечение при раке почки
- •4.11.7. Эндоскопические операции
- •4.11.8. Хирургическое лечение солитарных и единичных метастазов рака почки
- •4.11.9. Хирургическое лечение местных рецидивов после нефрэктомии
- •4.12. Лекарственное лечение метастатического рака почки
- •4.13. Лучевая терапия
- •4.14. Контрольные вопросы
- •4.15. Тестовые задания
- •4.16. Рекомендуемая литература
- •5.7. Контрольные вопросы
- •5.8. Тестовые задания
- •5.9. Рекомендуемая литература
- •6.1. Эпидемиология
- •6.2. Факторы риска
- •6.3. Патоморфологическая характеристика
- •6.4. Классификация tnm
- •6.5. Клиническая картина
- •6.6. Диагностика опухолей мочевого пузыря
- •6.7. Лечение рака мочевого пузыря
- •6.7.1. Лечение поверхностного переходно-клеточного рака мочевого пузыря
- •6.7.2. Лечение инвазивного рака мочевого пузыря
- •6.7.3. Сравнительная оценка органосохраняющих и органоуносящих методов хирургического лечения рака мочевого пузыря
- •6.7.4. Вопросы пластики и протезирования мочевого пузыря
- •6.8. Лечение инвазивного рмп
- •6.9. Лучевая терапия
- •6.10. Генерализованный рак мочевого пузыря
- •6.11. Контрольные вопросы
- •6.12. Тестовые задания
- •6.13. Рекомендуемая литература
- •Первый вариант
- •Второй вариант
- •Глоссарий
- •Интернет ресурсы
- •Онкологические заболевания органов мочеполовой системы
- •644043 Г. Омск, ул. Ленина, 12; тел. 23-05-98
4.3. Патоморфологическая характеристика рака почки
Более 85% злокачественных первичных опухолей почки (рис. 17) составляет почечно-клеточная аденокарцинома, исходящая из паренхимы почки (синонимы: светлоклеточный рак, гипернефроидный рак, опухоль Гравитца). Около 7% опухолей почки представлены переходно-клеточным раком лоханки, также как и переходно-клеточный рак мочеточников, исходящим из эпителия, выстилающего коллекторную систему. В связи с биологическими особенностями переходно-клеточного рака почки он рассматривается отдельно в конце настоящей главы.
Рис. 17. Макропрепарат. Почка с опухолью и лимфатические узлы.
В основе традиционных классификаций рака почки лежат особенности морфологии клетки и клеточного ядра. Современные классификации учитывают данные морфологических, цитогенетических и молекулярных исследований и выделяют 5 видов рака почки (рис. 18).
а
б
в
г
д
ж
Рис. 18. Патоморфологическая картина пяти видов рака почки.
Walsh, Retik, Vaughan, Wein. Campbell’s urology. Eight edition.
1) светлоклеточный рак – 60-85% (рис. 18а);
2) хромофильный (папиллярный) рак – 7-14% (рис. 18 б, в);
3) хромофобный рак – 4-10% (рис. 18 г);
4) онкоцитарный рак – 2-5% (рис. 18 д);
5) рак собирательных протоков – 1-2% (рис. 18 ж).
В большинстве случаев рак почки развивается из эпителия проксимальных канальцев. Возможно также сочетание различных видов рака почки. Различают следующие виды гистологической дифференцировки опухоли почки:
GX – степень дифференцировки не может быть установлена;
G1 – высокая степень дифференцировки;
G2 – средняя степень дифференцировки;
G3 – низкая степень дифференцировки;
G4 – недифференцированный рак.
4.4. Метастазирование рака почки
Ч
аще
всего метастазирование опухолевых
клеток происходит гематогенным или
лимфогенным путем. Метастазы обнаруживаются
у 25% пациентов на момент установления
диагноза. Выживаемость данных больных
составляет от 6 до 12 месяцев и только
10% переживают 2 года. Приблизительно у
30-50% больных в различные сроки после
нефрэктомии появляются метахронные
метастазы. Прогноз последней группы
несколько лучше, однако 5-летняя
выживаемость не превышает 9%. Наиболее
частыми локализациями множественных
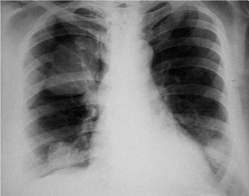
метастазов являются легкие
76%, лимфатические узлы
64%, кости
43%, печень
41%, ипсилатеральный и контралатеральный
надпочечники
19% и 11,5%, контралатеральная почка
25%, головной мозг
11,2% (рис. 19-23). Солитарные метастазы или
метастатическое поражение только одного
органа имеет место только в 8-11% случаев.
Рис. 19. Компьютерная томография. Метастазы в печень при раке почки.
Рис. 20. Компьютерная томография. Метастазы в головной мозг при раке почки.
Рис. 21. Урография. Аномалия развития мочевыделительной системы. Опухоль левой почки. Метастазы в кости скелета.
Рис.22. Рентгенография. Метастазы в легкие при раке почки.
Рис. 23. Рак почки. Метастазы в кожу.
