Поджелудочная железа
Ультразвуковое исследование – является первым методом диагностики нормы и патологии поджелудочной железы. При ультразвуковом исследовании визуализируются головка, тело и хвост поджелудочной железы. В норме размеры: головка – до 2,7 см, тело – 0,7-2,1 см, хвост – 1,0-2,7 см. Контур железы ровный, структура однородная, средней эхогенности. В 50% случаев определяется проток (Вирсунгов) поджелудочной железы, в норме ширина не больше 0,2 см.
Рисунок Ультрасонограмма поджелудочной железы: 1) головка; 2) тело; 3) хвост
У новорожденного размеры головки, тела и хвоста примерно одинаковые, в старшем возрасте тело значительно тоньше головки и хвоста. Эхогенность паренхимы у новорожденного значительно выше, чем эхогенность печени, в последующем эхогенность паренхимы поджелудочной железы снижается и превышает эхогенность паренхимы печени, структура однородная. Вирсунгов проток не расширен, просвет не визуализируется, иногда могут визуализироваться сомкнутые стенки в виде 2 тонких параллельных линий.
Рисунок Ультрасонограмма поджелудочной железы: а) новорожденный (все части одинаковой величины); б) ребенок 9 лет, тело значительно тоньше других частей; в) вирсунгов проток.
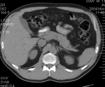
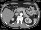
Компьютерная томография – позволяет определить размеры, форму, оценить состояние протоков поджелудочной железы. Размеры поджелудочной железы вариабельны, в среднем составляют: длина 12-15 см, головка 2,5-2,8 см, тело 2,0-2,3 см, хвост 1,5-1,7см. Нормальные размеры железы у взрослых обычно составляют одну треть переднезаднего размера тела позвонка на этом уровне, у детей поджелудочная железа имеет относительно большие размеры. На КТ-сканах плотность неизменной паренхимы поджелудочной железы находится в пределах 30-50 ед.Н. Ширина протока поджелудочной железы - 1-3 мм, ширина общего желчного протока до 8 мм. При необходимости проводится внутривенное болюсное и пероральное контрастирование. После внутривенного контрастирования плотность поджелудочной железы повышается до 60-80 ед.Н.
Размеры поджелудочной железы в норме
Возраст, лет |
Головка, мм |
Тело, мм |
Хвост, мм |
20-30 |
25-32 |
17-21 |
16-20 |
31-40 |
23-29 |
16-20 |
15-18 |
41-50 |
22-29 |
16-19 |
14-17 |
51-60 |
21-27 |
14-18 |
14-17 |
61-70 |
20-26 |
14-18 |
13-16 |
71-80 |
17-25 |
12-17 |
11-15 |
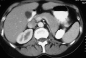
Рисунок Компьютерная томограмма органов брюшной полости: 1) нижняя полая вена; 2) верхний полюс правой почки; 3) аорта; 5) левая почка; 6) кишечник; 7) селезеночная вена; 8) поджелудочная железа; 9) воротная вена
Магнитно-резонансная томография. На МР-сканах визуализируются все отделы поджелудочной железы: головка, тело, хвост, структура железы гомогенная, контуры ровные. В норме поперечные размеры поджелудочной железы составляют: головка – 2,4 см, тело – не более 2,5 см, хвост – не более 2,5 см, ширина вирсунгова протока не более 2 мм. На МР-сканах поджелудочная железа характеризуется изоинтенсивным или слабо гиперинтенсивным МР-сигналом по сравнению с паренхимой печени.
