Эндокринная система гипофиз
Рентгенологические исследования. Для диагностики патологии гипофиза долгие годы применялась рентгенография черепа в прямой и боковой проекциях, прицельная рентгенограмма, томограмма, на которых изучалось состояние турецкого седла, которое является костным ложем гипофиза. На рентгенограммах оценивают форму седла, состояние передней стенки, дна и спинки, сагиттальный и вертикальный размеры. Размеры и форма турецкого седла вариабельны.
Рисунок Рентгенограмма черепа в боковой проекции (стрелка – турецкое седло), прицельная рентгенограмма турецкого седла
Рисунок Схема измерения размеров турецкого седла на прицельной рентгенограмме: а) сагиттальный размер; б) вертикальный размер; в) диафрагма турецкого седла
Сагиттальный (наибольший переднезадний) размер турецкого седла – от бугорка седла до переднего края спинки, в среднем составляет 1,2 см (от 0,9 до 1,5 см). Вертикальный размер (высота седла) – линия, идущая от наиболее глубокой точки дна до места пересечения с диафрагмой седла, в среднем составляет – 0,9 см (от 0,7 до 1,2 см). Соотношение высоты и длины турецкого седла (индекс седла) меняется в зависимости от возраста. В детском возрасте индекс седла равен единице или больше, в половозрелом возрасте – меньше единицы.
Размеры турецкого седла в норме
Возраст (годы) |
Сагиттальный размер (мм) |
Вертикальный размер (мм) |
|||||
cредний |
максималь-ный |
минималь-ный |
средний |
максималь-ный |
минималь-ный |
||
11 - 13 |
9 |
12 |
6 |
8,2 |
11 |
6 |
|
14 - 15 |
9,6 |
12 |
7,5 |
8,9 |
11,5 |
7 |
|
16 - 18 |
10,4 |
13,5 |
8 |
9,2 |
12 |
7 |
|
19 и старше |
11,6 |
15 |
9 |
9,4 |
13 |
7 |
|
Форма турецкого седла может быть овальной, круглой, плоскоовальной, вертикально-овальной, неправильной и имеет возрастные особенности: у детей – округлая, у взрослых – овальная.
Увеличение размеров турецкого седла наблюдается при аденомах гипофиза. В зависимости от размеров аденомы подразделяются на микроаденомы (до 10 мм) и макроаденомы (больше 10 мм).
Рентгенологическими признаками аденомы гипофиза являются изменение формы и размеров турецкого седла, истончение и деструкция костных структур, образующих его.
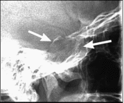
Рисунок Прицельная рентгенограмма турецкого седла. Макроаденома гипофиза. Увеличение размеров турецкого седла (стрелки) и разрушение нижней стенки.
Компьютерная томография. Компьютерная томография проводится для изучения формы и структуры турецкого седла, состояния гипофиза. Нормальный гипофиз на КТ-сканах имеет высоту 3-7 мм, ширину – 10-17 мм, его верхний край плоский или вогнутый, ножка гипофиза располагается по средней линии и ее диаметр в аксиальной проекции составляет 4 мм.
При внутривенном контрастировании структура нормального гипофиза гомогенная. Небольшие аденомы гипофиза на компьютерных сканах визуализируются как очаги с низкой плотностью. При аденомах больших размеров отмечается увеличение размеров турецкого седла, деструкция и смещение костных структур, визуализируется сама опухоль. При внутривенном контрастировании можно более детально изучить характер опухоли, особенности кровоснабжения, определить распространенность процесса.
Рисунок Компьютерная томограмма турецкого седла, гипофиза.
Магнитно-резонансная томография. Наиболее информативный метод исследования гипофиза. При магнитно-резонансной томографии визуализируются передняя и задняя доли, воронка гипофиза, возможно оценить симметричность гипофиза, положение воронки, состояние спинки турецкого седла. На МР-сканах структура аденогипофиза гомогенная, изоинтенсивна с белым веществом мозга.
Аденомы гипофиза на Т1 ВИ – визуализируются как зоны со сниженным по сравнению с остальной тканью аденогипофиза сигналом, на Т2ВИ – как зоны с повышенным сигналом. При внутривенном контрастировании аденомы накапливают контрастное вещество и можно более детально оценить структуру опухоли.
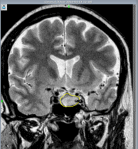
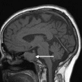
Рисунок Магнитно-резонансные томограммы головного мозга: а) коронарная плоскость; б) сагиттальная плоскость. Гипофиз (возрастная норма).
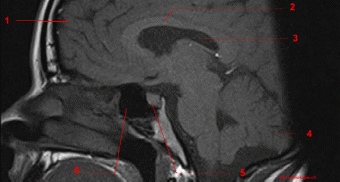
Рисунок Магнитно-резонансная томограмма гипофиза и области турецкого седла: 1 – лобная доля; 2 – мозолистое тело; 3 – боковой желудочек; 4 – мозжечок; 5 – гипофиз; 6 – клиновидная пазуха.
Рисунок Магнитно-резонансные томограммы головного мозга
Рисунок Магнитно-резонансная томограмма головного мозга в коронарной плоскости: аденома гипофиза
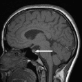
Рисунок Магнитно-резонансная томограмма головного мозга в сагиттальной плоскости. Микроаденома.
Рисунок Магнитно-резонансная томограмма головного мозга в сагиттальной плоскости. Макроаденома.
Рисунок Магнитно-резонансная томограмма головного мозга в сагиттальной плоскости. Макроаденома.
