0,82 Х сарысудағы креатинин мкмоль/л
Коэффициент: ер адам=1, әйел=0,85.
Құралдық мәліметтер:
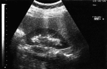
Бүйректің УДЗ
УЗД – оң бүйрек 14,7 х 4,3 см, паренхима қалыңдығы 1,4 см, біртекті, тостағанша-қалқанша жүйесі 1,6 см. Сол бүйрек 10,0 х 4,1 см, паренхима қалыңдығы 1,5 см, тығыздалған. Қорытынды: екі бүйректің өлшемдерінің ұлғаюы. Құрсақ қуысындағы бос сұйықтық.
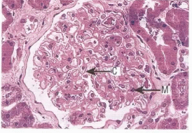
Бүйректің биопсия
Бүйректің биопсия: Капиллярлы ілмектер (С) диффузды қалыңдаған, иммунды комплекстердің субэпителиальді жиналуы (М). Қорытынды: мембранозды нефропатия.
«Қант диабетіндегі нефротикалық синдром »
Клиникалық жағдай бойынша жауаптар эталоны
№ |
|
|
1. |
Шағымдарын және анамнезін жинау |
Жүйелі және кезеңді орындалды |
2. |
Салыстырмалы диагностика үшін қосымша сұрақтардың көмегімен ауру симптомдарын нақтылау |
Салыстырмалы диагностика үшін қосымша барлық сұрақтар қойылды |
3. |
Физикальді қарауды жүргізу – жалпы қарау |
Дене салмағының жоғарлауы, АҚ көтерілуін, бетінің ісінуін, теріс ұрғылау симптомын анықтады |
4. |
Дене салмағының индексін есептеу және интерпретациялау |
ДСИ = салмағы/ бойы(м)2= 87/ 1,732= 29,07 ДСИ шамамен 25—29,9 ВОЗ ұсыныстары бойынша артық дене салмағына сәйкес келеді (семіру алды) ДСИ бойынша семіру жіктемесі (ВОЗ, 1997) ДСИ меньше 18,5 аз – жеткілік сіз дене салмағы, 18,5 - 24,9 - қалыпты, 25 - 29,9 - артық, 30 - 34,9 – семірудің 1 дәрежесі 35 - 39,9 - семірудің 2 дәрежесі 40 және одан көп семірудің 3 дәрежесі. |
5. |
Алдын ала қойылған диагнозды құру және негіздеу |
Полидипсия, ауызының құрғау, кезеңді басының ауруы, беті, аяқ басы мен балтырының ісінуіне шағымдарын, пальпацияда бүйректер проекциясында ауру сезімді. қан диабеті бойынша тұқым қуалаушылық және басқа зәр шығару жолдарының ауруларының болмау; АГ ескере мына диагноз қойылды: Қант диабет 2 тип. Диабеттік нефропатия. Нефротикалық синдром. Артериальді гипертензия 2 дәрежі. |
6. |
Лабораторлы зерттеу жоспарын тағайындау |
Жалпы қан анализі; гликемиялық профиль, гликолизирленген гемоглобин, жалпы зәр анализі. Нечиепорнко сынамасы, зәрде тәуліктік белок эксреция анализі. БХҚА: мочевина, креатинин, жалпы белок, альбуминдер, глобулиндер, холестерин, триглицеридтер, фибриноген. ШФЖ есептеу және бүйрек қызметін бағалау. |
7. |
Құралдық зерттеу жоспарын тағайындау |
Бүйректі УДЗ; бүйректі биопсия |
8. |
Жалпы қан және жалпы зәр анализін интерпретациялау |
|
9. |
Нечиепорнко сынамасы, зәрде тәуліктік белок эксреция анализін интерпретациялау |
|
10. |
Биохимиялық қан анализін интерпретациялаулау |
Гипергликемия,гипопротеинемия, гипоальбуминемия, гипергаммаглобулинемия, гиперхолестеринемия, гиперфибриногенемия, гликолизирленген гемоглобиннің жоғарлауы |
11. |
Қант диабетін анықтау |
Жоңарыда аталған көмірсі алмасу бұзылыстары қант диабетінің декомпенсациясын көрсетеді |
12. |
Кокрофта-Голта формуласы бойынша шұмақтар фильтрациясының жылдамдығын есептеп және интерпретациялау |
ШФЖ 110 мл/мин, бүйректің фильтрациялық қызметі сақталған. |
13. |
Бүйректің УДЗ интерпретациялау |
Бүйректердің өлшемі ұлғайған (паренхиманың ісінуі), асцит. |
14. |
Бүйректің биопсия интерпретациялау |
Капиллярлы ілмектер (С) диффузды қалыңдаған, иммунды комплекстердің субэпителиальді жиналуы (М). Қорытынды: мембранозды нефропатия. |
15. |
Қорытынды диагнозды тұжырымдау және оны негіздеу |
Алдын ала негізделген диагноз, сонымен қатар гипергликемия, гипопротеинемия, гипоальбуминемия, гиперхолестеринемия; ЖЗА-3 г/л-ден жоғары протеинурия (4,8 г/л),бүйректердің өлшемі ұлғайған (паренхиманың ісінуі), асцит,капиллярлы ілмектер (С) диффузды қалыңдаған, иммунды комплекстердің субэпителиальді жиналуы (М) мына диагноз қойылды: қант диабеті 2 тип, орташа ауырлықта, декомпенсация. Диабеттік нефропатия 4 дәрежесі. Артериальді гипертензия 2 дәрежесі, қауіп 4. ҚАЖ0. |
16. |
Емдеу тәсілін анықтау |
|
17. |
Глюкозаны төмендететін дәрілер
|
Бүйрек қызметінің сақталуын ескеріп, глюкоза төмендететін дәрілерді ұсыну бойынша қатаң шектеулер жоқ. Бірақ мыналар қажеттірек: – сульфонилмочевина дәрілері, бауырмен шығады (гликвидон немесе гликлазид); немесе - гликинидтер (репаглинид (новонорм) немесе натеглинид (старликс)) Гликемиялық профиль бойынша дәрілер әр адамға жеке тағайындалады |
18. |
Патогенетикалық терапия: пульс-терапияны дұрыс тағайындау (метилпреднизолон+Циклоспорин А). Нефропротективті дәрілер |
Метилпреднизолон 1000 мг т/і тамш 200 мл физиологиялық ерітіндіде тәуілігіне 1 рет №3. АҚ мен қандағы қант деңгейінің бақылауымен. Циклоспорин-А 150мг х 2 рет күніне, оның қандағы концентрациясының деңгейінің бақылауымен. Мақсатты деңгей С0 = 100-150нг/мл Ілмекті диуретик – Фуросемид 40-80мг 1 рет таңертең; Тиазидті диуретик – Гипотиазид 25-50мг 1 рет таңертең. Қандағы электролиттердің бақылауымен (К). Фозиноприл 5 мг немесе рамиприл 2,5 мг немесе моэксиприл 7,5 мг 1 рет тәуілігіне АҚ мен қандағы калий деңгейінің бақылауымен. Аторвастатин 10 мг немесе симвастатин 20 мг немесе розувастатин 10 мг 1 рет тәуілігіне кешке қарай қандағы холестерин, АЛТ, АСТ деңгейінің бақылауымен Қажетті жағдайда (нефротикалық криздің қаупінде) - Альбумин 10% 200 т/і тамш қандағы белок және оның фракцияларының деңгейінің бақылауымен |
19. |
Ем нәтижесінің критерилерін анықтау |
1. жағдайының жақсаруы – шағымдарының болмауы, АҚ қалыпқа келуі 130/ 80 мм сб б. 2. қант диабетті компенсацияға жеткізу (НвА1с- 7% жоғары болмау), холестериннің қалыпты мөлшері 3,5 ммоль/л төмен (ТТЛП 2,6 ммоль/л төмен; триглицеридтер 1,7 ммоль/л төмен; ЖТЛП 1,3 ммоль/л жоғары) |
20. |
Науқаспен коммуникация нәтижелігі |
коммуникация нәтижелі |
Симуляцияның жабдықталуы:
Тапсырмамен парақ, волонтерге (науқасқа) арналған сценарии, қадамдарды бағалау критерийлері
Лабораторлы анализдер; ШФЖ анықтау үшін Кокрофт-Гоулт формуласы
Бүйректің УДЗ қорытындысы
Бүйректің биопсиясының қорытындысы
Тонометр, фонендоскоп
Әзірлеушінің аты жөні: доц. Джубанова Г.И.
Рецензент аты жөні:
АМДБЖИ кардиология кафедрасының менгерушісі, мғд, проф. Атарбаева В.Ш.
№3 терапия бойынша интернатура және резидентура кафедрасының, мғд, проф. Косанова А.К.
КОП отырысы хаттамасының номері және бекіту күні: №4 30.01.2014 ж.
7
беттің
