2. Рибосома.
Цэр3
а)
б)
(а) негативное контрастирование, центрифугирование в градиенте сахарозы.
(б) большее увеличение отдельных рибосом.
Цэр4
а)
б)
(а) пластилиновые модели рибосом по фотографиям.
(б) более новый метод: рибосомы разбирают на отдельные белки, вырабатывают к ним антитела, красят и смотрят, как белок располагается на поверхности рибосомы.
Цтэ6
Большое количество реконструкций. S – белки малой субъединицы.
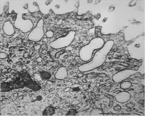
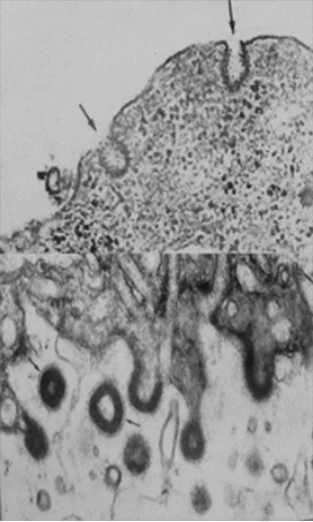
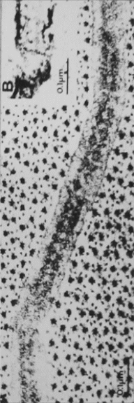
3. Гладкая эпс.
ЦМ1
а)
б)
(а)Электронная фотография с разреза мышц. Видны актомиозиновые волокна и Т-система между ними (электронно-плотно). По бокам от Т-системы – L-система с Cа-связывающими белками. (белки – электронно-плотные, т.к. связаны с осмием)
(б) Замораживание-травление. В центре – L-система с рецепторами (на них указывает стрелочка).
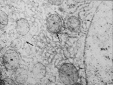
в)
г)
д)
(в) Т-канал, идущий по L-системе. Рианодиновые (RYR) рецепторы - на L-системе темными точками.
(г) внизу и вверху – часть L-системы, посередине – часть Т-системы.
(д) две верхние слева и одна нижняя слева – дигидропиридиновые рецепторы (ДГП – на Т-системе), правая верхняя и две правые нижние фотографии – RyR (на L-системе).
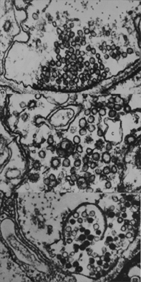
Цэр6 нарушения шероховатой ЭПС
а)
б+в)
г)
(а) наверху – нормальная клетка, внизу – под действием ультразвука.
(б-г) процесс накопления токсина в митохондриях гепатоцитов.
(б) норма, до воздействия.
(в) митохондрия, которая начала накопление. Вокруг нее образуется шЭПС, которая позже образует изолирующую мембрану.
(г) митохондрия, вокруг которой – много шЭПС, изоляция.
4. Нарушения гладкой эпс
Цэр7
а)
(а)
нормальная клетка.
б)
в)
(б+в) – разные стадии интоксикации. Гипетрофировання глЭПС.
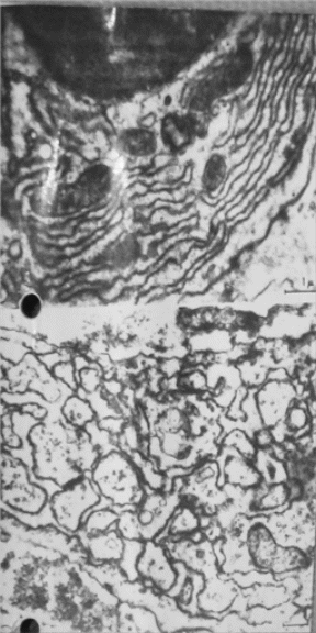
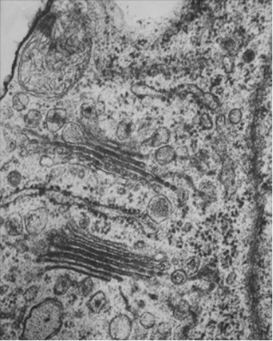
5. Аппарат гольджи.
ЦГ1
а)
б+в)
(а) раппарат гольджи растительной клетки, электронная микроскопия.
(б) аппарат гольжди растительной клетки, трансмиссионная микроскопия. Мечение флуоресцентной меткой. Тубулярный аппарат гольджи.
(в) сильно развитый аппарат гольджи у простейших.
ЦГ1а
(а)
(б)
(а+б) аппарат гольджи в разных плоскостях под углом 90 градусов. В (б) цистерны перерезаны поперек.
ЦГ2
а)
б)
Полярность аппарата гольджи. Cis-часть всегда обращена к ЭПС (а). Trans – к секреторным вакуолям.
(б) клетка гиподермы медузы. Большая секреторная гранула с trans-стороны от аппарата гольджи.
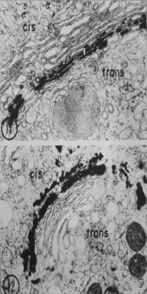
ЦГ3
а) б+в)
Дифференциальное окрашивание систем аппарата гольджи.
(б) Без всякого воздействия
(в) trans часть аппарата гольджи окрашена на кислую фосфатазу.
г+д)
е)
ж)
(г)
trans часть окрашена с
помощью тимидин-пирофосфтазы (ферменты
– в разных системах!)
(д) cis часть выявлена с помощью тетраоксида осмия.
(е) элемент молочной железы, где происходит образование окаймленных пузырьков от аппарата гольджи к секреторным гранулам. * - клотриновое опушение пузырька.
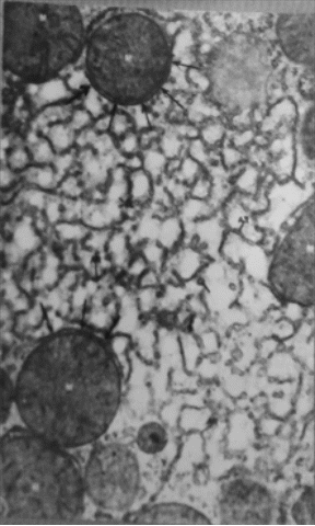
6. Эндоцитоз. Клотриновое опушение.
Цэл1
а+б)
в+г)
д)
(а-г) Процесс пиноцитоза с мечением жидкости электронно-плотным ферритином. Образование пузырьков.
(а) мембрана электронно-плотная, так как там сидит ферритин.
(г) ооцит таракана поглощает питательные вещества. Образование пузырьков.
(д) тоже мечение ферритином рецепторов внутри пузырьков (менее плотно, чем сама мембрана).
Цэл2
а)
б)
(а) образование окаймленных пузырьков (вид снаружи). Мы видим липиды низкой плотности, которые вызывают сигнал образования пузырьков. Видны липидные капли на мембране (клетка поглощает липиды).
(б) Вид изнутри. Сеточка еще почти ровная, внизу – образование пузырьков. Метод замораживания-травления.
Цэл3
а)
б)
в)
г)
д)
(а) отдельные клотриновые молекулы. Негативное контрастирование.
(б) искусственное формирование клотринового опушения трискелиона.
(в) модель расположения отдельных молекул в решетке.
(г) схема образования пузырьков рядом с микроворсинками.
(д) при нарушении субмембранной части рецептора даже при связи с лигандом не происходит образования пузырьков.
(е) общая схема.
е)
ЦМ33
а-в)
г)
(а)пресинапс, (в) синапс
(б) место образования пузырьков на боковой мембране. Есть как опушенные, так и неопушенные (только оторвавшиеся) пузырьки.
(в) Есть темные, есть светлые пузырьки. В межклеточное пространство была введена пероксидаза хрена (темный цвет), светлые – до введения пероксидазы.
(г) замораживание-скалывание.
