Биологические мембраны.
3 составляющие:
Собственно мембрана (включает НМК = надмембранный комплекс, мембрану и ПМК = подмембранный комплекс);
Цитоплазма и органеллы;
Ядерный аппарат
Трехслойная модель строения мембраны: билипидный слой. Самоподдерживающаяся структура, не требующая энергии АТФ – энергетически выгодно.
Микроскопия: используют соли тяжелых металлов для мечения мембран: соли металлов, будучи полярными, связываются с полярными структурами; выглядят электронно-плотно на электронных фотографиях.
ЦМ-15 (Eucaryota)
Трансмиссионная микроскопия.
а) Трехслойная мембрана: 2 электронно-плотных слоя (осажденные соли металлов) и один электронно-светлый слой.
б) Многочисленные мембраны верхней части членика фоторецепторной клетки. Очень много белков и нет такой трехслойной системы. Много темных глобул – интегральных белков.
ЦМ-14 (Eucaryota)
Метод замораживания-скалывания, сканирующая микроскопия.
а)
б)
в)
г)
(а): Мембрана хлоропласта: много белков, торчащих из мембраны.
(б): Мембрана члеников фоторецепторных клеток.
(в): Миелиновая оболочка, шванновская клетка. Нет белков, многослойная мембрана, функция – изоляция.
(г): Липосома. Искусственный липидный пузырек.
ЦТЭ5 (Bacteria)
Метод замораживания-скалывания, сканирующая микроскопия.
а)
б)
(а): Бактерия, мутантная по липидам: плохо синтезирует их. Может расти только в среде, содержащей липиды. Если в среде будут присутствовать насыщенные липиды (только), то бактерия, встраивая их в свою мембрану, будет иметь жесткую мембрану. Показаны этапы усвоения бактерией насыщенных липидов, образования жесткой мембраны и как следствие – «лысины» - белки не могут удерживаться в жесткой структуре и поэтому оттуда мигрируют.
(б): ОМ – наружная мембрана, СМ – внутренняя мембрана. На СМ белков больше.
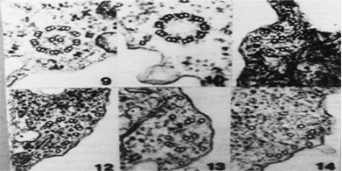
ЦМ16
Сперматозоид мыши. Для всех фотографий, кроме (д): верхняя часть фотографии – трансмиссионная микроскопия, нижняя – сканирующая микроскопия.
а)
б+в)
г)
д)
(д): Брали белки из различных зон (головка, шейка, хвост), к участкам вырабатывали антитела и смотрели белки. Белки головки – окрашивались только в головке, белки шейки – только в шейке, белки хвоста – только в хвосте. Т.е. белки не свободны: они не мигрируют по всей мембране, они заякорены за цитоскелет.
(а): Хвост, аксонема. В мембране – белки, видна полоса, образуемая белками.
(б+в): Шейка. Немного другое распределение белков.
(г): Головка. Сильно отличающееся расположение белков.
Цитоскелет
ЦМ2.
Актиновый цитоскелет. Фибробласты. Трансмиссионная микроскопия.
а)
б)
в)
г)
д)
(а): Начало стресс-фибриллы (наверху - зона фокального контакта). Фибробласт.
(б): Нервная клетка с длинными актиновыми филаментами.
(в): Миофибрилла. Метки с коллоидным золотом: большого размера – к голому миозину, малого размера – к альфа-актину.
(г): Ламиллоподия фибробласта (относится к фотографии (а)), часть фибробласта, которая ползет. Коллоидным золотом помечен альфа-актин – он растет и разбирается.
(д): верхняя фотография (ж) – сканирующая микроскопия. Толстый миозиновый филамент, в стороны от которого торчат головы (двухголовый миозин здесь и далее - МII). Нижняя левая фотография (д) – классический МII. Нижняя правая фотография – гантелеобразный альфа-актинин.
ЦМ3
3 стадии движения фибробласта. Сканирующая микроскопия.
а)
в)
б)
(а): Фибробласт, который только осел и ищет, куда ему распластаться. Филоподии – актиновые филаменты в мембране.
(б): Ламиллоподия с раффлом (кусок, который торчит вверх и содержит актиновые филаменты, разбирается и втягивается) - определяет, куда НЕ надо ползти.
(в):Филоподии – фибробласт ищет субстрат сверху.
ЦМ4
Мечение актина в клетках флуорофором. Трансмиссионная микроскопия.
а)
б+в)
г)
д)
(а): Актиновая сеть с дырками по центру: это тропомиозин (ТМ), связанный с актином (отсутствует в углах сети). Светится именно ТМ.
(б-внизу): Альфа-актинин образует точки в узлах сети.
(в-наверху): Актин – образует сеть в узлах и между ними.
(г): Актиновая сеть в нераспластанном виде.
(д): Образование ламилло- и филоподий и распластанный фибробласт. В центральной части – сеть, и от нее – пучки актиновых филаментов, в том числе, к фокальным контактам.
ЦМ4а
Мечение актина тяжелым меромиозином (здесь и далее - ТММ). Трансмиссионная микроскопия.
а)
б)
(а): Антителами помечены разные белки. Сверху вниз 5 фотографий: 1 – актин, 2 – миозин, 3 – альфа-актинин, 4 – актин с миозином, 5 – актиновый микрофиламент.
(б): ТММ на стресс-фибрилле: образование «наконечников стрел», обозначающих «+» и «-» концы филамента.
ЦМ5 (а-г) и ЦМ10 (д-з)
а+б)
в)
г)
д+е)
ж+з)
(а): Фибробласт с окрашенными актиновыми филаментами,
(б): Неокрашены все филаменты, но в клетку вколота микроинъекция g-актина с меткой, в центре – светящееся пятно.
(в+г): Тубулиновая система микротрубочек.
(д+е): Та же клетка, что и в (а+б), но на более поздних стадиях. Образовала филаменты.
(ж+з): Электронная микроскопия. Добавили актин, помеченный биотином. Процесс постоянного «сучения» актина (тредмиллинг). Коллоидное золото: сверху – тоненькие, снизу – более толстые, из-за биотина.
ЦМ7а
Трансмиссионная микроскопия.
а)
б)
Структуры актина, которые существуют долго и у них нет тредмиллинга.
(а): Микроворсинка всасывающей клетки кишечного эпителия. DT – плотное пятно g-актина для формирования микрофиламента на «+» конце.
(б): меченные ТММ актиновые филаменты.
ЦМ7
Слева направо:
1 – Ворсинка, метод замораживания-скалывания. В мембране – белки, расположенные неравномерно.
2 – Трансмиссионная микроскопия. Актин связан с мембраной (с помощью нетрадиционного одноголового миозина – МI)
3 – Сканирующая микроскопия, метод замораживания-скалывания с травлением. В центре – пучок актиновых филаментов, от которых отходит МI, контактирующий с мембраной ворсинок.
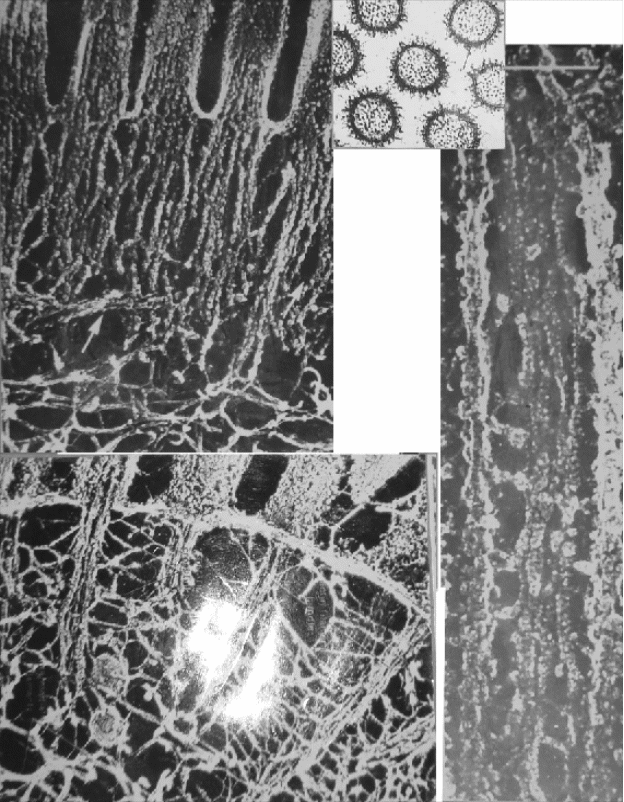
ЦМ9
Верхний квадрат: трансмиссионная микроскопия, виден гликокаликс на ворсинках.
Слева вверху: сканирующая микроскопия, метод травления (скалывание – срез и вытравливается часть веществ). Только цитоскелет. Начинается микроворсинка с актиновыми филаментами, заякоренными за внутренний цитоскелет клетки.
Слева внизу: сеть актиновых филаментов, связанных с актином, идущим внутрь филаментов.
Справа: актиновые филаменты, которые оплетены промежуточными филаментами.
ЦМ6а
а)
б)
(а): слева, сверху вниз: 1 – эритроцит нормальной формы, 2 –воздействие на клетку, 3 – зоны контакта актиновых филаментов. Справа: тень эритроцита, рвется и смотрим на мембрану изнутри. Сеть.
(б): Сеть, более крупно. Образована спектрином и актином.
ЦМ11
Микротрубочки, состоят из тубулина. Упакованы мономеры по окружности от 13 до 15 глобул. (а)
а)
б)
в)
ж+з)
е)
(б) Поперечный и продольный срезы. На правой – микротрубочки с белками – MAP (microtube associated proteins), белки распределены более-менее равномерно.
(в) 2 микротрубочки: верхняя находилась в среде с низким содержанием тубулина. Видна сборка, но неактивная. Внизу – среда с большим количеством g-тубулина, видна сборка, в том числе и на «-» конце.
(ж+з) Расслабленный и сжатый кинезин.
г)
д)
(г) Денеин
(д) Моторный белок крепится к микротрубочке.
ЦМ12а
Аксонемальный аппарат. Денеиновые ручки и радиальные спицы. Сокращение денеиновых ручек вызывает вращении по окружности (а у ресничек - биение).
(а) Аксонема. 9+2
(б) Ближе к основанию пропадает одна центральная трубочка. 9+1. Далее – выпадение центральной и дуплеты превращаются в триплеты.
(е) Базальное тело, триплеты (9 триплетов)
ЦМ12б
а)
б)
в)
(а) Срез через инфузорию. Видим реснички.
(б) и (в) Более подробно и более крупно видим отдельные части.
ЦМ13
а)
б)
Водоросль поместили в барокамеру.
(а) Разные стадии регенерации жгутика. t-базальное тело.
(б) Стадии того, как разбирается аксонема жгутика. В первую очередь разрушаются те микротрубочки, которые неполноценные.
