
- •1. Особенности переломов костей у детей. Переломы по типу «зеленой ветки», поднадкостничные переломы, эпифизеолизы, остеоэпифизеолизы, апофизеолизы.
- •2. Основные принципы классификации переломов у детей, их практическое значение. Первая помощь при переломах. Способы временной иммобилизации и их основные принципы.
- •3. Клиника и диагностика переломов костей в детском возрасте. Абсолютные и относительные клинические симптомы переломов. Значение рентгенологического метода исследования и его основные принципы.
- •4. Основные методы лечения переломов в детском возрасте.
- •5. Родовые повреждения скелета. Переломы ключицы. Акушерский парез верхней конечности. Клиника, диагностика, лечение.
- •Перелом ключицы:
- •Акушерский парез верхней конечности:
- •6. Родовые повреждения плечевой и бедренной костей. Клиника, диагностика, лечение. Переломы плечевой кости:
- •Травматические эпифизеолизы плечевой кости:
- •Переломы бедренной кости:
- •7. Кефалогематома. Клиника, диагностика, лечение. Возможные осложнения, их профилактика и коррекция.
- •8. Врожденная мышечная кривошея. Клиника, диагностика, методы лечения.
- •9. Родовые травмы шейного отдела позвоночника. Механизмы. Клиника, диагностика, принципы ортопедической коррекции.
- •1. Принцип ранней и точной диагностики
- •2. Принцип иммобилизации (создания покоя)
- •3. Принцип комплексности и этапности
- •4. Принцип динамического наблюдения и контроля
- •5. Принцип "Не навреди" (Максимальной осторожности)
- •6. Принцип активного участия родителей
- •10. Переломы ключицы у детей. Механизм травмы, клиника, диагностика, лечение. Показания к оперативному лечению переломов ключицы.
- •Переломы ключицы группы 15.1
- •Т.О. Это сочетание Относительных и Абсолютных (кпд) признаков перелома.
- •11. Переломы проксимального отдела плечевой кости – переломы хирургической шейки плеча. Классификация в зависимости от вида смещения костных отломков. Клиника, диагностика, лечение.
- •13. Диафизарные переломы плечевой кости. Механизм травмы. Клиника, диагностика, принципы лечения, возможные осложнения.
- •14. Диафизарные переломы костей предплечья – монооссальные и полиоссальные. Клиника, диагностика, принципы лечения.
- •Монооссальные переломы: переломы локтевой кости
- •Переломы лучевой кости
- •Полиоссальные переломы:
- •15. Переломы дистального отдела костей предплечья – эпифизеолизы и остеоэпифизеолизы лучевой и локтевой костей. Механизм травмы. Клиника, диагностика, принципы лечения.
- •Эпифизеолиз дистального конца лучевой кости
- •Повреждения Монтеджа
- •Повреждение Галеацци
- •Чем ниже перелом, тем меньше отклонение центрального отломка кнаружи и кпереди.
- •Выбор метода консервативного лечения зависит главным образом от возраста ребенка и характера перелома:
- •1. Прямой механизм травмы
- •2. Непрямой механизм травмы
- •Повреждения мочевого пузыря и уретры:
- •По глубине (1960 г.):
- •По глубине (мкб-10):
- •Прибывший на место происшествия персонал скорой медицинской помощи должен последовательно выполнить следующие мероприятия:
- •I. Ожоговый шок;
- •II. Ожоговая токсемия;
- •III. Ожоговая септикотоксемия.
- •I. Ожоговый шок;
- •II. Ожоговая токсемия;
- •III. Ожоговая септикотоксемия.
- •Консервативные методы лечения:
- •Хирургические методы лечения (преимущественно при глубоких ожогах):
- •Нарушение ползания:
- •Укорочение конечности
- •Асимметрия ягодичных и бедренных складок
- •Наружная ротация ноги
- •1. Ранний возраст (до 3 лет) – Фундамент осанки:
- •2. Дошкольный возраст (3–7 лет) – Формирование привычек:
- •3. Младший школьный возраст (7–12 лет) – Критический период:
- •4. Подростковый возраст (12–18 лет) – Стабилизация и коррекция:
- •II. Нейромышечные
- •III. Врожденные
- •1. Инфантильный идиопатический сколиоз (от 0 до 3 лет)
- •2. Ювенильный идиопатический сколиоз (от 4 до 10 лет)
- •3. Подростковый идиопатический сколиоз (от 10 лет до окончания роста скелета)
- •I. Остеохондропатии эпифизарных концов трубчатых костей:
- •III. Остеохондропатии апофизов:
- •IV. Частичные клиновидные остеохондропатии суставных поверхностей:
- •5. Сцинтиграфия костей (Остеосцинтиграфия):
- •6. Лабораторная диагностика:
- •7. Диагностическая артроскопия
- •«ПеРвый Келлер — пеРвая косточка»
- •1. Хрящеобразующие опухоли:
- •1. При вялых параличах
- •2. При спастических параличах
- •Клиническая картина, диагностика и лечение на примере Аппендикулярного Перитонита:
- •1) Врожденные сужения гортани:
- •2) Приобретенные стенозы гортани:
- •3) Сужения трахеи:
- •Закон операций при вкн: Абсолютно обязательна ревизия всего желудочнокишечного тракта, даже в том случае, когда хирург, «войдя в брюшную полость», сразу обнаружил «locus morbi»
- •Классификация Заргар:
- •I. Острая бактериальная деструкция.
- •II. Хронические формы (исходы острой деструкции).
- •Основная задача хирурга в специализированном стационаре при лечении пиопневмоторакса в возможно более ранние сроки расправить легкое!!!
- •Ущемленная паховая грыжа — показание к экстренному оперативному вмешательству.
- •Аномалии развития урахуса:
- •Пузырно-пупочный свищ:
- •Киста урахуса:
- •Неполный пупочный свищ:
- •Дивертикул мочевого пузыря:
- •Аномалии желточного протока:
- •Полный свищ пупка:
- •Неполный свищ пупка:
- •Энтерокистома (Киста желточного протока):
- •Дивертикул подвздошной кишки (дивертикул Меккеля):
- •Заворот яичка:
- •Некроз гидатид яичка:
- •Травма яичка и мошонки:
- •Острый неспецифический эпидидимит, орхиэпидидимит:
- •Аллергический отек мошонки:
- •Аномалии развития яичка: Монорхизм:
- •Анорхизм:
- •Полиорхизм:
- •Аномалии опускания яичка:
- •Пороки развития уретры:
- •Эписпадия:
- •Экстрофия мочевого пузыря
- •Аномалии количества:
- •Аномалии положения:
- •Аномалии взаимоотношения:
- •Аномалии величины и структуры:
- •Уретерогидронефроз
- •Повреждения почек:
- •Повреждения мочевого пузыря:
- •Повреждения уретры:
1. Хрящеобразующие опухоли:
– промежуточная (местно агрессивная): хондросаркома grade I;
– злокачественные: хондросаркома grade II и grade III, дедифференцированная, мезенхимальная, светлоклеточная.
2. Костеобразующие опухоли: злокачественные (остеосаркома классическая, хондробластическая, фибробластическая, остеобластическая, телангиэктатическая, мелкоклеточная, вторичная, параостальная, периостальная, высокозлокачественная поверхностная).
3. Гематопоэтические опухоли: плазмоцитарная миелома, солитарная плазмоцитома кости, злокачественная неходжкинская лимфома кости.
4. Фиброгенные опухоли: фибросаркома кости.
5. Сосудистые опухоли: эпителиоидная гемангиоэндотелиома, ангиосаркома.
6. Другие опухоли: Саркома Юинга (СЮ), адамантинома, недифференцированная высокозлокачественная плеоморфная саркома кости.
Остеома – доброкачественная опухоль из костной ткани. В зависимости от структуры костной ткани различают губчатые и компактные (плотные) остеомы.

Эпидемиология: У детей встречается крайне редко. Остеомы характерны для генетического заболевания, называемого синдромом Гарднера (вариант семейного аденоматозного полипоза). Пациенты с этим синдромом страдают множественными полипами толстой кишки, часто сопровождающимися остеомами (обычно в области челюсти).
Клиническая картина: Протекает бессимптомно и представляет собой островки склерозированной костной ткани размерами менее 2 см, расположенные в толще губчатой кости или параостально, кнаружи от кортикальной пластинки.
Диагностика: Рентгенография и КТ.
Типичная локализация: в придаточных пазухах носа (ППН), своде и основании черепа – компактные; в позвонках – губчатые; в костях конечностей – смешанные.
Лечение: Резекция кости в пределах здоровых тканей.
Остеохондрома (костно-хрящевой экзостоз) – порок развития, при котором эпифизеальные участки грыжевидно выпячиваются над поверхностью кости и подвергаются при этом энхондральной оссификации. Это приводит к формированию выроста с широким или узким основанием, построенным из губчатой кости и хрящевой «шапочки» различной толщины.
Эпидемиология:
Встречается в основном в детском и
подростковом возрасте вне зависимости
от расы и места проживания.
Клиническая картина: Могут быть единичными или множественными (экзостозная болезнь). У больного может быть обнаружено новообразование или появляется боль из-за сдавления прилежащих тканей и нервных стволов.
Типичная локализация: Может появиться в любой кости, формирующейся на основе хряща, особенно большеберцовой или бедренной ближе к коленному суставу.
Диагностика:
Рентгенографические признаки характерны
и заключаются в непрерывном переходе
костной структуры экзостоза в основную
часть кости в типичном месте. Некоторые
новообразования имеют ножку.
При малейшем подозрении на злокачественную
опухоль – биопсия.
Дифференциальный диагноз: Костные саркомы.
Лечение:
Резекция кости в пределах здоровых
тканей.
45. Опухоли костей у детей. Классификация. Остеоид-остеома – типичные локализации, клиника, дополнительные методы диагностики, принципы лечения.
Классификация – см. выше
Остеоид-остеома (Остеоид-остеома и остеобластома) доброкачественная опухоль из костной ткани:
В Международной гистологической классификации опухолей костей указывается на отсутствие специфических гистологических критериев, позволяющих различать эти новообразования.
Остеоид-остеома
возникает обычно вблизи от кортикальной
пластинки, а остеобластома – в центральной
или медуллярной части кости.
Эпидемиология: Встречается с умеренной частотой у детей старше 10 лет, чаще у мальчиков. Обычно проявляется в бедренной или большеберцовой кости, реже в позвоночнике, плечевой кости или фалангах. Составляют до 15% среди всех доброкачественных новообразований кости.
Клиническая картина: Кардинальным клиническим симптомом является боль, вначале тупая и усиливающаяся при осевых нагрузках, чаще ночная, успокаивающаяся после приема ацетилсаллициловой кислоты. Через несколько недель или месяцев боль начинает усиливаться и локализоваться, но местные признаки воспаления отсутствуют.
Типичная локализация: Остеоид-остеома: диафиз большеберцовой или бедренной костей, шейка или межмыщелковая область бедра; для остеобластомы характерно поражение позвонков, костей кистей и стоп.
Диагностика: При ретроспективном анализе с момента появления первых симптомов до обращения к врачу проходит от нескольких дней до нескольких месяцев.
Физикальное обследование: При осмотре обычно обращают внимание на наличие припухлости в типичных местах, вызывающей деформации.
Лабораторные и инструментальные исследования: Рентгенологически: костная опухоль малого размера (менее 2 см) с четкими границами и зоной реактивного костеобразования по периферии. Иногда можно выявить кальцификацию остеоида.
Дифференциальная диагностика: Проводится с другими костными опухолями.
Лечение:
Только
оперативное:
опухоль должна быть полностью удалена,
чтобы предупредить развитие рецидивов.
46. Опухоли костей у детей. Классификация. Остеобластокластома – типичные локализации, клиника, дополнительные методы диагностики, принципы лечения.
Классификация – см. выше
Остеобластокластома ([Г]иганто[К]леточная [О]пухоль [К]остей (ГКОК)) – локально агрессивное, первичное новообразование кости, относящаяся к опухолям с неопределенным потенциалом злокачественности.
Вопреки мнению исследователей прошлых десятилетий, рассматривавших ГКОК как доброкачественное новообразование, ее следует считать потенциально агрессивным процессом.
В классификации Всемирной организации здравоохранения (ВОЗ) версии 2020 года для ГКОК используется код 9250/1, что соответствует новообразованию с неопределенным потенциалом злокачественности.
Эпидемиология: На долю ГКОК приходится порядка 3-5% в структуре всех опухолей костей и до 15-20% среди доброкачественных новообразований костей. У лиц женского пола ГКОК наблюдается несколько чаще, чем у мужского. У детей данная опухоль встречается крайне редко (менее 2% случаев), в основном, в подростковом возрасте. Факторы риска неизвестны. Есть сообщения о семейной предрасположенности к образованию ГКОК у пациентов с болезнью Педжета костей.
Клиническая картина: Клинические проявления ГКОК неспецифичны и, как правило, развиваются в течение длительного времени. ГКОК может сопровождаться болью в области поражения, припухлостью и деформацией кости, нарушением двигательной функции сустава, появлением венозного рисунка на коже. На начальных этапах боль возникает при нагрузке и исчезает в покое, может иррадиировать в ближайший сустав. В ряде случаев опухоль длительное время протекает бессимптомно и впервые выявляется в виде припухлости с нарушением функции соответствующего сустава.
При поражении позвонка первым проявлением может быть неврологическая симптоматика вследствие компрессии спинного мозга и/или корешков спинномозговых нервов. Нередко развитию вышеуказанных симптомов предшествует травма.
Травматизация пораженного сегмента может привести к формированию патологического перелома, что нередко является первичным проявлением основного заболевания.
Типичная
локализация:
Локализация ГКОК является одним из
самых важных дифференциально-диагностических
критериев, так как новообразование в
большинстве случаев поражает определенные
отделы скелета. В большинстве случаев
ГКОК возникает в метафизарно-эпифизарной
зоне длинных трубчатых костей. Примерно
40% всех случаев регистрируются в трубчатых
костях, формирующих коленный сустав, в
том числе дистальный отдел бедренной
кости в 23-30%, в то время как в проксимальном
отделе встречается только в 4% случаев.
Обратная ситуация возникает при поражении
большеберцовой кости: проксимальный
отдел вовлекается в 20-25% случаев, в то
время как дистальный только в 2-5% случаев.
На дистальный отдел лучевой кости
приходится около 10-12% случаев ГКОК.
Диагностика: В первом этапе диагностики при подозрении на опухоль кости выполняются общепринятые обзорная и прицельная рентгенография пораженной области с близлежащим суставом. Компьютерная томография [КТ] и магнитно-резонансная томография [МРТ] позволяют более точно определить структуру кортикального слоя и мягкотканного компонента.

По данным рентгенологических методов исследования ГКОК проявляется зоной остеолитической деструкции с четкими, неровными контурами, которая в большинстве случаев расположена эксцентрично и может быть отграничена от неизмененной кости полосой (зоной) остеосклероза (рис. 5).
Для ГКОК характерны патогномоничные рентгенологические симптомы, такие как подрытие, истончение и «вздутие» (периостальная скорлупа) коркового слоя. Нередко встречается симптом «писчего пера» по краю опухоли.
КТ органов грудной клетки (ОГК) с внутривенным контрастированием рекомендуется к выполнению при длительном, многократно рецидивирующем течении заболевания с выявления метастазов в легких
Радионуклидные методы исследования, такие как, остеосцинтиграфия (ОСГ) и позитронно-эмиссионная томография с компьютерной томографией (ПЭТ-КТ) могут быть использованы для определения мультицентрического характера поражения. ПЭТ-КТ является высокочувствительным биомаркёром «ответа» на лекарственную терапию. Однако, в настоящее время нет четкого консенсуса по показаниям к назначению радионуклидных исследований.
Для подтверждения диагноза ГКОК необходимо выполнение биопсии новообразования с последующим гистологическим исследованием и клинико-рентгенологическим сопоставлением
Дифференциальная диагностика: Проводится с другими костными опухолями.
Лечение:
В
настоящее время лечение осуществляется
комплексно.
Наряду с основным,
хирургическим
методом,
используется лекарственная
терапия моноклональными антителами –
ингибиторами резорбции костной ткани
(Деносумаб).
Хирургические подходы при ГКОК включают органосохраняющие операции, такие как:
– «агрессивный» кюретаж;
– резекция пораженного участка кости с замещением дефекта;
– резекция участка кости с одномоментным эндопротезированием резецированной кости и смежного сустава.
47. Опухоли костей у детей. Классификация. Остеогенная саркома – типичные локализации, клиника, стадии течения, пути и сроки метастазирования, дополнительные методы диагностики, принципы комбинированного лечения.
Классификация – см. выше
Остеогенная саркома – относится к наиболее агрессивно протекающим онкологическим заболеваниям человека. Это связано со склонностью данной опухоли к ранней гематогенной диссеминации с преимущественным поражением легких.
Эпидемиология: Остеосаркома – самая частая из первичных злокачественных новообразований костей у детей. Опубликованные результаты наблюдений свидетельствуют, что эта опухоль составляет от 50 до 80% всех сарком скелета.

Остеосаркома занимает 6-е место по частоте среди всех злокачественных опухолей детского возраста. Частота встречаемости заболевания составляет 0,4 на 100 000. Термин «остеогеная саркома» был предложен в 1920 г. Д. Юингом, который объединил под этим названием большую группу костных опухолей. В дальнейшем были выделены самостоятельные нозологические формы: параостальная саркома, хондросаркома и фибросаркома.
Соотношение ЗНО, в зависимости от возраста:
- У детей 0-4 лет преобладает саркома Юинга;
- У детей 5-9 лет саркома Юинга и остеогенная саркома равны;
- У детей 10-14 лет преобладает остеогенная саркома.
Этиология и патогенез: Опухоль происходит из примитивной костьформирующей мезенхимы. Многочисленные исследования свидетельствуют о существовании прямой зависимости скорости роста скелета в пубертатном и препубертатном возрастах с частотой возникновения остеосаркомы. Важным аргументом в пользу существования такой связи можно считать и особенности локализации этой опухоли. На ранних стадиях процесса гематогенное распространение опухоли проявляется метастатическим поражением легких. Около 10-20% больных имеют клинически определяемые легочные метастазы в период установления диагноза. Метастазы в легких имеют поверхностное и нередко субплевральное расположение. Факторы риска: травмы, ион.излуч., ДНО, дистрофии.
Поражение лимфатических узлов встречается в 10% случаев и является плохим прогностическим признаком. Опубликованы лишь единичные сообщения о раннем метастатическом поражении регионарных лимфатических узлов.
Типичная локализация: Несмотря на то, что остеосаркома может быть обнаружена в любой части скелета, наиболее часто она поражает длинные трубчатые кости конечностей. Обычно опухоль локализуется в костях нижних конечностей (80-90%), в основном в костях, составляющих коленный сустав в 60-80% случаев. Кости верхней конечности поражаются примерно у 10% больных, при этом наиболее частой локализацией опухоли является плечевая кость (70- 90%). В длинных трубчатых костях остеосаркома чаще располагается в области эпиметафиза и метафиза, в то время как в диафизе опухоль определяется примерно в 20% поражений. Реже всего остеосаркома поражает плоские кости (лопатка, ребра, кости черепа и таза), кости стопы, кисти и позвоночника. По сводным данным, наиболее частая локализация остеосарком у детей младше 4 лет проксимальные отделы плечевой кости. Таким образом, в локализации опухолевого процесса прослеживается топическая связь опухоли с зонами наиболее активного роста длинных трубчатых костей эпиметафизами костей, образующих коленный и плечевой суставы.
Клиническая картина:
- Боль резкая, сначала неопределенной локализации, затем с её четким определением. Из периодической со временем становится постоянной. Усиливается по ночам, не стихает в покое и при иммобилизации;
- Видимая опухоль, выбухание и утолщение кости (спустя несколько недель после появления боли, опухоль без четких границ, плотная, болезненная, кожа напряжена, горяча на ощупь);

-
Нарушение функции конечности +
возникновение патологических (т.е. без
явного воздействия) переломов;
- Течение – без ремиссий, в том числе и боль. Графически:
Диагностика: Основным диагностическим критерием остеосаркомы остается наличие признаков опухолевого (неопластического) костеобразования. Наличие опухолевого остеогенеза принято считать достоверным признаком принадлежности опухоли к остеосаркоме.


Биологические особенности остеосаркомы, выражающиеся в быстром её росте, гематогенном метастазировании и невозможности определния субклинических метастазов современными диагностическими средствами, обусловливают необходимость комплексного мониторирования, включающего клинико-лабораторные, патоморфологические исследования и методы лучевой диагностики (многопроекционная рентгенография, томография, КТ (в том числе лёгких), МРТ, ангиография, УЗИ, остеосцинтиграфия, гистологическое исследование.
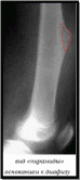
Периостальные реакции на рентгенограмме для остеогенной саркомы:
а) Утолщение и отслойка надкостницы – козырёк Кодмана (справа);
б) Линейные тени вдоль кровеносных сосудов – спикулы (слева).
Для установления окончательного диагноза необходимо выполнить биопсию. Материал забирают трепанбиопсией, но предпочтительна открытая биопсия, которую производят, непосредственно, перед оперативным вмешательством. При подтверждении диагноза – резекция или ампутация кости.
Лечение: Особенности лечения ЗНО костей у детей заключаются в:
- Необходимости осуществления междисциплинарного подхода к лечению;
- Необходимости учитывать темпы роста у детей;
- В максимальной возможности выполнения органосохранающих операций.
Таким образом, необходимо: сочетание современной неоадъювантной и адъювантной химиотерапий (ХТ) с органосохраняющим (по возможности) у ~ 85-90% пациентов оперативным лечением + лечение метастазов + эндопротезирование («растущие», «модульные» протезы) + «биологическая реконструкция» при маленьком возрасте.
Остеогенная саркома: неоадъюв. ХТ + хир. + лучевая терапия (ЛТ) на ложе опухоли + адъюв.ХТ.
Выживаемость: Прогноз при остеосаркоме крайне неблагоприятный при одном только хирургическом лечении у 80-90% больных в течение первого года появляются отдаленные метастазы, чаще всего в легкие, и 5-летняя выживаемость у таких больных составляет 10-15%.
У
детей с локализованным процессом по
данным зарубежных исследований, а также
по данным, полученным в отечественных
НИИ, 5-летняя общая выживаемость достигает
70-79%, 5-летняя безрецидивная выживаемость
составляет 80-85%, у пациентов с
диссеминированным процессом 5-летняя
общая и безрецидивная выживаемость не
превышает 30%.
48. Опухоли костей у детей. Классификация. Саркома Юинга – типичные локализации, клиника, стадии течения, пути и сроки метастазирования, дополнительные методы диагностики, принципы комбинированного лечения.
Классификация – см. выше
Саркома Юинга (СЮ) – вторая по частоте после остеосаркомы первичная злокачественная костная опухоль.
Эпидемиология, этиология и патогенез: Чаще встречается у пациентов детского, подросткового и юношеского возраста и весьма редко выявляется у пациентов старше 30 лет. Отмечено некоторое преобладание лиц мужского пола, со средним годовым уровнем заболеваемости 3,3 на млн у мальчиков и 2,6 на млн у девочек. Дети белой расы заболевают СЮ в 9 раз чаще, чем дети негроидной расы. СЮ очень редко встречаются у пациентов азиатского происхождения. Причина различий в частоте заболеваемости неизвестна, однако выявлены отличия в некоторых аллелях гена СЮ.
Соотношение ЗНО, в зависимости от возраста:
- У детей 0-4 лет преобладает саркома Юинга;
- У детей 5-9 лет саркома Юинга и остеогенная саркома равны;
- У детей 10-14 лет преобладает остеогенная саркома.
Типичная локализация: Чаще всего первичный очаг располагается в бедренной кости (19-27%)
костях верхней конечности (16%), реже – в большеберцовой (11%) и малоберцовой костях (10%). Второй, наиболее типичной, локализацией являются кости таза (21-25% случаев), реже встречается локализация первичного очага в костях осевого скелета (позвонки, кости черепа), ребрах, лопатке, ключицах. Нередко очаги поражения обнаруживаются почти одновременно в нескольких костях.
В отличие от остеосаркомы более часто поражаются плоские кости скелета.
По располажению выделяют:
а) Центральную (пор-е позвонков, ребёр, лопаток, костей черепа);
б) Проксимальную (пор-е бедренно
в)
Дистальную (пор-е кистей, предплечья,
стоп, больше- / малоберцовых кк.).
Клиническая картина:
- Боль носит периодический, волнообразный, но обязательно! нарастающий характер.
- Видимая опухоль, выбухание и утолщение кости. Графически:
- Нарушение функции конечности + патологические переломы.
- Течение: недомогание, высокая температура, гиперемия кожи, боль при пальпации.
Волнообразное, но с ремиссиями, но, опять же, с постоянной тенденцией к прогрессии.
Стадии течения:

G1 – высокая степень дифференцировки;
G2 – средняя степень дифференцировки;
G3 – низкая степень дифференцировки;
G4 – недифференцируемая опухоль (при Саркоме Юинга сразу ставится G4).
Пути и сроки метастазирования: СЮ у детей характеризуются более злокачественным течением, чем у взрослых больных, и обладают быстрым ростом и ранним метастазированием.
Наличие метастазов при первичном обращении диагностируется у 22—38% пациентов. Метастазирование в основном происходит гематогенным путем, при этом наиболее часто обнаруживается поражение легких (38%), костей (31%), костного мозга (11%). В редких случаях диагностируется поражение лимфатических узлов (менее 10%), которые рассматриваются как отдаленные метастазы, и вовлечение ЦНС как в форме менингеального распространения, так и метастазов в ЦНС (3—6%), встречающихся при далеко зашедших стадиях заболевания.
Диагностика: Многопроекционная рентгенография, томография, КТ (в том числе лёгких), МРТ, ангиография, УЗИ, остеосцинтиграфия, гистологическое исследование.
Периостальные реакции на рентгенограмме для Саркомы Юинга:


а) Многослойные пластинчатые наложения, расположенные параллельно диафизу кости – Луковичный Периостит (см справа).
Для установления окончательного диагноза необходимо выполнить биопсию. Материал забирают трепанбиопсией, но предпочтительна открытая биопсия, которую производят, непосредственно, перед оперативным вмешательством.
При подтверждении диагноза – резекция или ампутация кости.
Лечение: Особенности лечения ЗНО костей у детей заключаются в:
- Необходимости осуществления междисциплинарного подхода к лечению;
- Необходимости учитывать темпы роста у детей;
- В максимальной возможности выполнения органосохранающих операций.
Таким образом, необходимо: сочетание современной неоадъювантной и адъювантной химиотерапий (ХТ) с органосохраняющим (по возможности) у ~ 85-90% пациентов оперативным лечением + лечение метастазов + эндопротезирование («растущие», «модульные» протезы) + «биологическая реконструкция» при маленьком возрасте.
Саркома Юинга: полихимиотерапия + хир. или лучевая терапия (ЛТ) на ложе опухоли + адъюв.ХТ.
49. Контрактуры суставов на почве вялых и спастических параличей. Клиника, диагностика. Принципы комплексного лечения и протезирования.
Контрактура сустава – это устойчивое ограничение движений в суставе. Проявляется уменьшением объема или отсутствием движений, нарушением функции, иногда – вынужденным положением конечности.
Вялый паралич – снижение или отсутствие мышечного тонуса (гипотония, атония).
Примеры: повреждение периферических нервов, полиомиелит, травма спинного мозга на стадии спинального шока.
Спастический паралич – повышение мышечного тонуса (гипертонус, спастика).
Примеры: детский церебральный паралич (ДЦП), последствия инсульта, черепно-мозговой травмы, травмы спинного мозга после стадии шока.
Клиническая картина: