- •Актуалізація теми
- •Лабораторні методи дослідження. Участь медичної сестри
- •Взяття крові із вени для біохімічного дослідження Зразок направлення
- •Особливості взяття крові з вени на коагулограму
- •Особливості взяття крові на наявність алкоголю
- •Інструкція про порядок забору та зберігання біологічних середовищ для токсикологічних наркологічних лабораторних досліджень
- •1. Порядок відбору проб біологічних середовищ:
- •2. Зберігання і доставка проб біологічних середовищ у лабораторії:
- •Направлення № _____ на дослідження зразків сироваток крові на наявність антитіл до віл
- •Збирання харкотиння для загального клінічного аналізу
- •Направлення на культуральне дослідження тб 06
- •Збирання харкотиння для виявлення мікобактерій туберкульозу
- •Направлення на мікроскопічне дослідження тб 05
- •Збирання харкотиння для бактеріологічного дослідження та виявлення чутливості до антибіотиків
- •Збирання сечі для різного виду лабораторних досліджень
- •Збирання сечі для загального клінічного аналізу
- •Сеча за методом Нечипоренка
- •Сеча за методом Амбурже
- •Сеча за методом Аддіса-Каковського
- •Сеча для визначення активності 17 кетостероїдів
- •Сеча на наявність глюкози
- •Сеча на визначення кількості діастази
- •Бактеріологічне дослідження сечі
- •Аналіз сечі на фенілкетонурію.
- •Сеча за методом Зимницького
- •Збирання калу на дослідження
- •Збирання калу для копрологічного дослідження
- •Кал на наявність прихованої крові
- •Кал на яйця гельмінтів
- •Збирання калу для бактеріологічного дослідження
- •Ендоскопічні методи дослідження
- •Мета ендоскопічних методів обстеження
- •Підготовка пацієнта до бронхоскопії
- •Хромоцистоскопія
- •Рентгенологічні методи дослідження
- •Рентгенологічне дослідження шлунка і верхнього відділу тонкої кишки.
- •Рентгенологічне дослідження товстої кишки (іригоскопія)
- •Пероральна холецистографія і холангіографія.
- •Внутрішньовенна холецистографія.
- •Рентгенологічне дослідження нирок і сечових шляхів (урографія).
- •Ультразвукове дослідження
- •Підготовка до узд органів черевної порожнини:
Чернігівський базовий медичний коледж
МЕТОДИЧНІ РЕКОМЕНДАЦІЇ
щодо організації самостійної роботи студентів
з предмету „Основи медсестринства”
Тема:
„Участь медичної сестри
в додаткових методах дослідження”
Підготувала
Койдан Н. Я.
м. Чернігів, 2012 р.
Розглянуто і затверджено на засіданні
циклової комісії з „Сестринської справи”
Протокол № 8 від 18. 03. 2012 р.
Голова циклової комісії
___________ Н.Г.Макаренко
Актуалізація теми
Реформування медичної освіти в Україні вимагає якісно нових підходів при обстеженні і лікуванні пацієнтів.
На сьогоднішній день медицина збагатилась великою кількістю додаткових методів дослідження, значення і розповсюдження яких послідовно змінюються.
Лабораторні методи дослідження, зокрема дослідження крові і сечі зберігають своє першочергове значення. Морфологічне дослідження крові (перш за все лейкоцитів) мають вирішальне значення в діагностиці новоутворень – лейкозів. Не менш важливе значення має кількісне визначення еритроцитів (анемія), лейкоцитів (вираженість запальних реакцій), визначення швидкості осідання еритроцитів (ШОЕ).
Проводяться багато чисельні дослідження плазми і сироватки крові: біохімічні, імунологічні, серологічні і ін. Деякі з них можуть мати вирішальне, ключове значення в діагностиці.
Зберігає своє значення в діагностиці дослідження калу. При цьому особливо необхідно відмітити значення бактеріологічного дослідження, яке нерідко дозволяє виявити етіологічний фактор захворювання – відповідний мікроорганізм.
Сучасні лабораторно-інструментальні методи обстеження базуються на новітніх досягненнях сучасної фізики, хімії, імунології і вимагають для їх проведення більш-менш складних інструментів та обладнання і спеціально навченого медичного персоналу.
Застосування цих методів дозволяє не тільки глибше вивчити відомі захворювання, але і, що більш важливо, в деяких випадках забезпечує діагностику хвороби на стані до клінічного її розвитку.
Лабораторні дослідження проводять у таких напрямках: вивчення фізичних властивостей досліджуваного матеріалу; мікроскопічне дослідження; визначення у досліджуваному матеріалі тих чи інших речовин - найчастіше це хімічні, біохімічні, бактеріологічне та серологічне дослідження.
Ендоскопічні методи дослідження (від грец. ender – усередині, skopio – оглядаю). Це методи інструментального дослідження слизової оболонки порожнистих органів за допомогою спеціальних оптичних приладів - ендоскопів.
Нерідко ендоскопію поєднують із біопсією і морфологічними дослідженнями отриманого матеріалу.
Ендоскопи почали застосовувати ще в ХІХ столітті з метою огляду слизової кишок і шлунка. На зміну “жорстким” ендоскопам прийшли ендоскопи з волоконною оптикою, що забезпечує гнучкість світловодів і здатність їх передавати зображення та світло викривленим шляхом.
За допомогою ендоскопії можна дослідити бронхи, шлунок і дванадцятипалу кишку (гастродуоденоскопія),
жовчні шляхи (холедохоскопія), кишки (колоноскопія) тощо. Найбільшого поширення набула ендоскопія в гастроентерології: її застосовують для огляду стравоходу (езофагоскопія), дванадцятипалої кишки (дуоденоскопія),
прямої кишки (ректороманоскопія), товстого кишківника (колоноскопія). Для діагностики і лікування захворювань органів дихання використовують ларингоскопію (огляд трахеї), бронхоскопію (дослідження бронхів),
торакоскопію (дослідження порожнини плеври).
Ендоскопічні методи впроваджені в урологічну практику - цистоскопія, нефроскопія; застосовують її і для дослідження суглобів - артроскопія, судин - ангіоскопія, порожнини серця - кардіоскопія.
Знайшла своє застосування ендоскопія і в ургентній невідкладній діагностиці і лікуванні: для виявлення причин внутрішньої кровотечі, видалення каменів чи сторонніх тіл. За допомогою ендоскопії здійснюють бужування, зрошення та аплікації лікарськими засобами оболонок порожнин, електрохірургічні та кріохірургічні маніпуляції, лазеротерапію, ультразвукове опромінення.
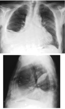
Рентгенологічне обстеження. Метод, який найчастіше застосовується у клінічній практиці і базується на просвічуванні окремих частин тіла рентгенівськими променями за рентгенівським екраном (рентгеноскопія). На екрані можна побачити тіні різної прозорості: на фоні прозорих легень можна виявляти ділянки ущільнення легеневої тканини, визначати розміри і конфігурацію серця. Для фіксації виявлених змін проводять рентгенографію - знімають зображення на плівку, що засвічується рентгенівськими променями. На рентгенівській плівці отримують негативне зображення (світлі на рентгенівському екрані місця на плівці - темні і навпаки).
Р ентгенографія є найбільш розповсюдженим методом в клінічній практиці, який дає первинну об’єктивну і задокументовану інформацію. При цьому треба пам’ятати, що рентгенограма грудної клітки є площинним зображенням складного об’ємного об’єкту. Для правильної її інтерпретації необхідно врахувати багато факторів: особливості проекційного зображення органів грудної клітки, закономірності утворення рентгенологічної картини патологічних змін в легенях і середостінні, технічні фактори і т. п.
При дослідженнях порожнистих органів, що дають на екрані порівняно густу однорідну тінь (шлунок, кишечник, жовчний міхур, ниркові миски) проводять їх контрастування.
Для дослідження шлунково-кишкового тракту хворому дають випити водну суспензію сульфату барію, а при дослідженні товстої кишки вводять цю суміш клізмою (іригографія). При дослідженнях жовчного міхура і внутрішньопечінкових жовчних ходів (холецистографія, холеграфія) хворому дають випити контрастні речовини (холевід, білітраст) або вводять їх внутрішньовенно (білігност). Ці речовини заносяться у печінку і нагромаджуються у жовчних протоках і жовчному міхурі.
Рентгенологічне дослідження ниркових мисок (пієлографія) проводять з використанням уротрасту. Рентгенологічне дослідження бронхів (бронхографія) можливе лише після заповнення часточкових і сегментарних бронхів ураженої ділянки контрастною речовиною (йодліпол). Дослідження судин (ангіографія) проводять з використанням кардіотрасту.
Ультразвукове дослідження (УЗД) - є методом дослідження внутрішніх органів з використанням ультразвукових сигналів, відбитих від тканин організму, ультразвукова ехолокація, ехографія, санографія, ультразвукове сканування. Ультразвукове обстеження у більшості випадків не потребує спеціальної підготовки, відноситься до неінвазивних методів і набуває широкого застосування не тільки у клініці внутрішніх хвороб, але в акушерстві з гінекологією, хірургії).
Ультразвукові коливання по різному поглинаються і відбиваються тканинами організму у залежності від щільності тканин, в яких вони поширюються. Ехолокатор посилає ультразвукові імпульси в тіло людини і вловлює відбиті від нього сигнали, посилаючи їх на осцилоскоп. Зображення реєструється на поляроїдній плівці. Цим методом досліджують серце, печінку, жовчний міхур,
підшлункову залозу, селезінку, нирки, наднирники, щитоподібну залозу. Метод дозволяє виявляти рідину в плевральній і черевній порожнинах.
Медична сестра повинна:
знати: який матеріал слід збирати при тих чи інших захворюваннях для лабораторного дослідження.
вміти:
а) пояснити хворому ціль лабораторного обстеження і отримати його згоду на проведення обстеження;
б) провести інструктаж хворого з підготовки до обстеження і методики забору матеріалу (якщо пацієнт буде виконувати це самостійно);
в) підготувати необхідну кількість відповідно підготовленого посуду та інструментів;
г) заповнити направлення з визначенням профілю лабораторії, мети дослідження;
д) своєчасно відправити біологічні матеріали на дослідження;
е) проконтролювати своєчасність отримання результатів лабораторної діагностики із фіксацією їх у медичних документах пацієнта.
