- •Профессиональные задачи Кардиохирургия (№ 1-4)
 - •Сосудистая хирургия (№5-8)
 - •Эндокринная хирургия (№9-11)
 - •Кт брюшной полости
 - •Этап операции
 - •Внешний вид больной
 - •Торакальная хирургия (№12-15) Профессиональная задача № 12
 - •Укажите наиболее полный перечень симптомов, позволивших Вам поставить диагноз:
 - •Профессиональная задача № 13
 - •Профессиональная задача № 14
 - •Профессиональная задача № 15
 - •Ургентная хирургия (№16-30)
 - •Абдоминальная хирургия (№31-37) Профессиональная задача № 31
 - •Профессиональная задача № 32
 - •Профессиональная задача № 33
 - •Профессиональная задача № 34
 - •Узи печени
 - •Профессиональная задача № 35
 - •Профессиональная задача № 36
 - •Профессиональная задача №37
 - •Гнойная хирургия (№ 38-42)
 - •Профессиональная задача № 39
 - •Профессиональная задача № 40
 - •Профессиональная задача №41
 - •Профессиональная задача № 42
 - •Проктология (№ 43-45) Профессиональная задача № 43
 - •Урология (№ 46-49)
 - •5. Определите тактику лечения больного
 - •2. Укажите наиболее полный перечень симптомов, позволивших Вам поставить диагноз.
 - •5. Определите тактику лечения больного
 - •2. Укажите наиболее полный перечень симптомов, позволивших Вам поставить диагноз:
 - •Травматология, ортопедия и впх (№ 50-53)
 - •Нейрохирургия (№ 54-56)
 - •Внешний вид больной
 - •2. Укажите наиболее полный перечень симптомов, позволивших Вам поставить диагноз:
 - •Амбулаторная хирургия (№ 57-70)
 - •3.Определите тактику лечения больного:
 - •3.Определите тактику лечения больного:
 - •3.Определите тактику лечения больного:
 - •3.Определите тактику лечения больного:
 
5. Определите тактику лечения больного
а) люмботомия, дренирование забрюшинного пространства, антибактериальная терапия
б) нефростомия
в) эпицистостомия
г) физиотерапия
д) антибактериальная терапия
ПРОФЕССИОНАЛЬНАЯ ЗАДАЧА № 48
Больная А., 22 лет, заболела 3 дня назад, когда после переохлаждения отметила рези при мочеиспускании, повышение температуры тела до 37,1° С. Через трое суток появились боли в левой поясничной области, температура тела повысилась до 38° С с ознобами.
Объективно : температура 38,3° С, с ознобом. Кожа и слизистые бледные. АД 90/60 мм. Hg, PS 110 уд. в мин. Язык влажный, обложен белым налетом. Живот мягкий, безболезненный. Симптом поколачивания поясничных областей положителен слева. Пальпация в проекции левой почки резко болезненна. Мочеиспускание свободное, безболезненное. Моча слабо мутная. В анализах мочи лейкоциты 50-60 в п/зр. Лейкоциты крови 10*10/9/л.
1. Сформулируйте диагноз.
а) острый аппендицит.
б)острый гнойный пиелонефрит слева
в) острый аднексит слева.
г) хронический пиелонефрит, обострение.
д) острый панкреатит.
2. Укажите наиболее полный перечень симптомов, позволивших Вам поставить диагноз:
а) боль в поясничной области, гипертермия, ознобы.
б) боль в поясничной области , болезненная пальпация в проекции левой почки, положительный симптом поколачивания левой поясничной области.
в) гипертермия, тахикардия, гипотония.
г) боль в поясничной области, гипертермия, ознобы, болезненная пальпация в проекции левой почки, тахикардия, гипотония.
д)боль в поясничной области, гипертермия, болезненная пальпация в проекции левой почки, положительный симптом поколачивания левой поясничной области, гипотония.
3. Тяжесть состояния обусловлена
а) обезвоживанием.
б)интоксикацией.
в) гипертермией.
г) болевым синдромом.
д) дизурией.
4. Исследование, необходимое для подтверждения диагноза:
а) биохимическое исследование крови.
б) изотопная ренография.
в)УЗИ.
г) экскреторная урография.
д) анализ мочи по Зимницкому.
5. Определите тактику ведения больной
а) лечение в нефрологическом отделении.
б) лечение в амбулаторных условиях антибиотиками.
в) консервативное лечение в урологическом отделении.
г)оперативное лечение в урологическом отделении.
д) лечение уроантисептиками в амбулаторных условиях.
Экскреторная урография, 7 мин.
5. Определите тактику ведения больной
а) лечение в нефрологическом отделении.
б) лечение в амбулаторных условиях антибиотиками.
в) консервативное лечение в урологическом отделении.
*г)оперативное лечение в урологическом отделении.
д) лечение уроантисептиками в амбулаторных условиях.
ПРОФЕССИОНАЛЬНАЯ ЗАДАЧА № 49
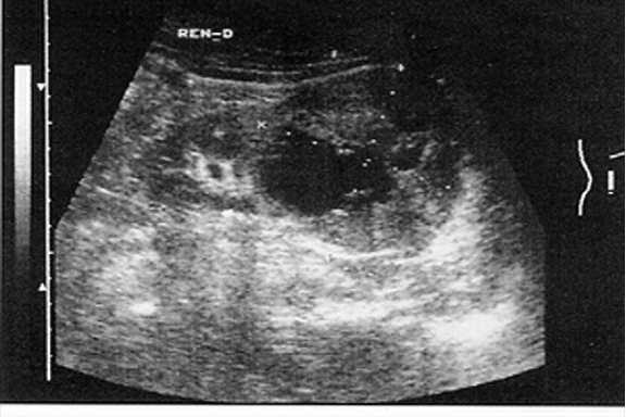
Больной 58 лет поступил в клинику с жалобами на общую слабость, плохой аппетит, длительный субфебрилитет, неоднократно выделение крови с мочой без болевых ощущений, за последние 6 месяцев похудел на 10 кг.
Объективно: Живот мягкий. Пальпируется объемное образование в левой поясничной области: гладкое, безболезненное, слабо подвижное. Отмечается расширение вен семенного канатика слева, которое появилось около 5 месяцев назад. Простата без особенностей. Мочеиспускание свободное, моча окрашена кровью, отходят сгустки в виде «червячков». На обзорной урограмме гомогенное затемнение в левой поясничной области. В OAK обращает на себя внимание эритремия.
1. Предположительный диагноз
а)опухоль левой почки
б) простая киста почки
в) поликистоз почек
г) паранефрит слева
д) опухоль забрюшинного пространства
2. укажите наиболее простой метод, позволяющий уточнить диагноз
а)УЗИ почек
б) лапароскопия
в) обзорная урография
г) УЗИ брюшной полости
д) ретроградная пиелография
УЗИ левой почки
3. Вероятная причина варикоцеле
а) идиопатическое варикоцеле
б) аорто-мезентериальный пинцет
в) сдавление левой почечной вены увеличенными лимфатическими узлами, опухолевой тромб в просвете почечной вены
г) результат сдавления семенного канатика в паховом канале
д) наличие опухоли в забрюшинном пространстве
4. Каким методом можно уточнить состояние венозного кровотока в почке
а)венография
б) аортография
в) КТГ почек
г) УЗИ почек
д) в/в урография
5. Как можно уточнить источник кровотечения
а)цистоскопия
б) УЗИ почек
в) УЗИ мочевого пузыря
г) УЗИ простаты
д) КТГ почек
