mod1posobie / часть 3
.pdfVI. ФУНКЦИОНАЛЬНЫЕ МЕТОДЫ ИССЛЕДОВАНИЯ ОПОРНО-ДВИГАТЕЛЬНОГО АППАРАТА
6.1ФУНКЦИОНАЛЬНЫЕ МЕТОДЫ ИССЛЕДОВАНИЯ КОСТЕЙ
ИИХ СОЕДИНЕНИЙ
6.1.1ОБЩАЯ ХАРАКТЕРИСТИКА РЕНТГЕНОАНАТОМИИ СОЕДИНЕНИЯ КОСТЕЙ
Основным методом исследования костей и их соединений у живого человека является
рентгенография, а в последние годы используется и электрорентгенография, компьютерная томография, магнитно-резонансная томография.
Кости в составе скелета располагаются не обособленно, а соединены друг с другом различными видами соединений (непрерывными и прерывными). Соединительнотканные и хрящевые соединения рентгеновские лучи поглощают слабо. На рентгенограмме они имеют вид светлых промежутков между костями. Синостозы дают на рентгенограмме четкую тень костной ткани, отражающую структуру компактного вещества.
Прерывные соединения, или суставы, имеют характерные для каждого сустава рентгенологические особенности. Они связаны с особенностями формы суставных поверхностей, положением каждой кости, находящихся на ней анатомических образований, шириной суставной щели и т.д.
Суставной хрящ на рентгенограмме не виден, поэтому суставные поверхности располагаются на определенном расстоянии друг от друга. Суставной капсулой и вспомогательными элементами суставов рентгеновские лучи не задерживаются и в норме на рентгенограмме не видны. Для выявления внутрисуставных структур производят пневмоартрографию (рентгенография после введения в полость сустава воздуха, кислорода или закиси азота).
Для получения необходимой информации об исследуемой области рентгенограммы обычно делают в двух взаимноперпендикулярных проекциях: прямой (фасной) и боковой (профильной). Для выявления отдельных структур реже применяются косые или специальные укладки.
Учитывая, что в теле человека имеется более 230 суставов и большое количество непрерывных соединений, рассмотрим рентгеноанатомию наиболее важных в практическом отношении соединений.
Магнитно-резонансная томография дает возможность демонстрировать одномоментно не только костную ткань, но и мягкие ткани позвоночного столба, спинной мозг, межреберные диски и связки, и др.
6.1.2 РЕНТГЕНОАНАТОМИЯ ПОЗВОНОЧНОГО СТОЛБА
Для каждого отдела характерны свои особенности строения. Так, для изучения шейного отдела позвоночного столба производят рентгенографию в прямой, задней и боковой проекциях (рис. 6.1, 6.2). В задней проекции отчетливо выявляются только III-VII шейные позвонки. I-II позвонки проекционно наслаиваются на кости основания черепа и нижнюю челюсть. В связи с этим для получения изображения I-II шейных позвонков применяют специальную укладку - прямую заднюю проекцию с максимально открытым ртом.
На рентгенограмме в задней прямой проекции остистые отростки расположены по средней линии позвоночного столба, по бокам от тел позвонков проецируются тени поперечных отростков. Тела позвонков, за исключением атланта и осевого позвонка, дают прямоугольную тень. Высота тел позвонков постепенно увеличивается в направлении поясничного отдела. Четко видны поперечные и остистые отростки, ножки дуг, между телами позвонков находятся светлые тени межпозвоночных дисков.
На рентгенограммах, выявленных в боковых проекциях (рис. 6.1), можно изучить все шейные позвонки. Под затылочной костью проецируется первый шейный позвонок. Между передней и задней дугами определяются контуры зуба осевого позвонка. Тело II шейного позвонка имеет четырехугольную форму. Хорошо видна рентгеновская суставная щель межпозвоночного сустава. Межпозвоночные диски легко пропускают рентгеновские лучи, поэтому между телами позвонков образуются просветления. Изображение на рентгенограммах грудного отдела позвоночного столба
209
усложняется за счет наслоения на позвонки теней задних концов ребер. В прямой проекции тела позвонков дают четкую тень прямоугольной формы с ровными контурами. В боковой проекции хорошо прослеживаются тела позвонков, суставные и остистые отростки.
На рентгенограммах поясничной части позвоночника видны четкие тени тел поясничных позвонков, имеющие прямоугольную форму (рис. 6.3) На профильных рентгенограммах видны также различия в расположении остистых отростков (в грудных и верхних поясничных они имеют наклон книзу, у нижних поясничных лежат почти горизонтально и имеют вид прямоугольных пластинок с закругленным концом), межпозвоночные отверстия, дуги с суставными и остистыми отростками.
В прямой задней проекции крестцово-копчиковый отдел позвоночного столба имеет форму клина, обращенного верхушкой книзу. На рентгенограмме пять сросшихся между собой крестцовых позвонков представляет собой единую кость. Места сращения позвонков дают тени в виде тонких поперечных полосок (затемнений). Крестцово-копчиковое соединение на прямой рентгенограмме прослеживается в виде тонкой полоски просветления. Крестец в боковой проекции имеет вид вогнутого вперед клина.
Таким образом, на обзорных рентгенограммах можно установить форму тела позвонка, его контуры, состояние отростков, точки окостенения, ширину и контуры рентгеновской суставной щели между суставными поверхностями, состояние позвоночного канала, варианты количества позвонков, увеличение количества поясничных позвонков - люмбализация, увеличение количества крестцовых позвонков или когда V поясничный позвонок напоминает крестцовый и срастается с поясничной частью или полностью - сакрализация. Обзорные рентгенограммы шейного и поясничного отделов позвоночного столба представлены на рисунках 6.1 и 6.2.
1
2
3
Рис. 6.1 Рентгенограмма шейного отдела |
Рис. 6.2 Обзорная рентгенограмма |
позвоночного столба (профильный |
поясничного отдела позвоночного столба |
снимок): |
(прямая проекция). |
1 - тело позвонка; 2 - просветление, |
|
соответствующее межпозвоночному диску; 3 |
|
- остистый отросток. |
|
МАГНИТНО-РЕЗОНАНСНАЯ ТОМОГРАФИЯ ПОЗВОНОЧНОГО СТОЛБА
Магнитно-резонансную томографию позвоночного столба выполняют в сагиттальной и аксиальной плоскостях. Она дает возможность продемонстрировать позвоночный столб и спинной мозг на большой длине без введения в субарахноидальное пространство контрастных веществ. На магнитно-резонансных томограммах шейного отдела позвоночного столба в аксиальной проекции
210
тела позвонков имеют квадратную форму. Назад от тел позвонков отходят дуги с отростками, хорошо видны отверстия, через которые проходит позвоночная артерия. Тела поперечных отростков пояснично-крестцового отдела массивные, величина их увеличивается от I до V позвонков (рис. 6.3-6.5).
На магнитно-резонансных томограммах четко обозначаются мягкие ткани позвоночного столба, спинной мозг, межпозвоночные диски и связки. При этом четко высвечиваются контуры спинного мозга и его положение в позвоночном канале.
Рис. 6.3 Магнитно-резонансная томограмма грудного отдела позвоночного столба.
Место деструкция 10 и 11 грудных позвонков с компрессией спинного мозга.
Рис. 6.5 Магнитно-резонансная |
Рис. 6.4 Магнитно-резонансная |
томограмма пояснично-крестцового |
томограмма шейного отдела позвоночного |
отдела позвоночного столба в |
столба в сагиттальной плоскости. |
сагиттальной плоскости. |
|
211
6.1.3 РЕНТГЕНОАНАТОМИЯ ГРУДНОЙ КЛЕТКИ
На рентгенограммах в прямой передней и задней проекциях выявляются 12 пар ребер, однако отмечаются проекционные наслоения их передних и задних концов (рис. 6.6, 6.7). В прямой задней проекции видны шейки и бугорки ребер. Головки ребер проекционно наслаиваются на тела и поперечные отростки позвонков. В боковой проекции четко определяются контуры и структура тела ребра. Щель реберно-поперечного сустава проекционно наслаивается на поперечные отростки позвонков и практически не видна.
Рис. 6.6 Рентгенограмма грудной клетки в |
Рис. 6.7 Обзорная рентгенограмма грудной |
передней прямой проекции (ребёнок 3-х лет): |
клетки |
1- ключица;2- сердце;3,4- рёбра. |
(прямая задняя проекция). |
6.1.4 РЕНТГЕНОАНАТОМИЯ ЧЕРЕПА
Для получения полного представления костей черепа применяют несколько проекций. Основными из них являются прямая и боковая проекции (рис. 6.8, 6.9)
Проекции дают возможность провести измерения, определить форму черепа, произвести анализ швов, грануляций и пальцевых вдавлений и т.д.
Прямая проекция (фасная) применяется для изучения костей мозгового, лицевого черепа, лобных и гайморовых пазух, глазницы. На рентгенограммах черепа, выполненных в прямой проекции, видны теменные кости со стреловидным швом, чешуя лобной кости, ограниченная хорошо выраженным венечным швом и внизу глазницами. Клиновидная пазуха в данной проекции создает просветление четырехугольной формы, расположенное между глазницами. В прямой проекции хорошо видны альвеолярные отростки челюстей и зубы, особенно резцы и клыки. Черепные ямки располагаются одна за другой (передняя, средняя, задняя).
На рентгенограммах черепа, выполненных в боковой проекции, определяются кости лицевого, мозгового черепа, швы и сосудистые борозды. Особенно хорошо видны кости свода черепа. Четко контурируются наружная и внутренняя пластинки компактного вещества костей, между которыми располагается полоска просветления губчатого вещества (диплоэ). Четко определяются швы костей черепа (венечный, стреловидный и ламбдовидный). Они имеют зубчатое строение. В боковой проекции на основании черепа отчетливо видны три черепные ямки, а также кости лицевого черепа. Прежде всего определяется тень лобной кости. В нижней части ее отмечается просветление в виде темного треугольника или овала неправильной формы. Это - проекция лобной пазухи. Ниже лобной кости располагается сложная тень глазницы, а под нижней стенкой глазницы расположена гайморова пазуха, дающая просветление неправильной формы. Четко определяются альвеолярные отростки челюстей, зубы и дугообразная тень нижнечелюстного сустава.
212
Рис. 6.8 Обзорная рентгенограмма |
Рис. 6.9 Обзорная рентгенограмма |
черепа (прямая проекция). |
черепа (боковая проекция) |
6.1.5 РЕНТГЕНОАНАТОМИЯ СУСТАВОВ ВЕРХНЕЙ КОНЕЧНОСТИ Грудино-ключичный сустав изучают в передней прямой проекции. При этом хорошо
прослеживаются суставная поверхность на грудине (ключичная вырезка) и выпуклый грудинный конец ключицы. Суставной диск на рентгенограмме не виден.
Акромиально-ключичный сустав исследуется в прямой задней проекции. Четко определяется форма суставных поверхностей. Размеры суставных поверхностей не соответствуют друг другу. Рентгеновская суставная щель прямолинейна.
Плечевой сустав. В образовании сустава участвуют суставная впадина лопатки и головка плечевой кости. На рентгенограммах в прямой задней и аксиальной проекциях отчетливо выявляются суставные поверхности и рентгеновская суставная щель (рис. 6.10). На рентгенограмме в прямой задней и аксиальной проекциях отчетливо выявляются суставные поверхности и рентгеновская суставная щель. Она соответствует толщине хрящей, покрывающих сочленение кости и дает равномерное просветление шириной 3-4мм.
Локтевой сустав образован сочленением трех костей: плечевой, лучевой, локтевой. Исследуют локтевой сустав в прямой и боковых прокциях ( рис.6. 11А,Б).
В прямой проекции выявляются суставные поверхности плечевой кости. Головка мыщелка плечевой кости располагается латерально и имеет четкие закругленные контуры. Блок плечевой кости находится медиально и формирует вогнуто-выпуклую линию. Суставная поверхность на лучевой кости (ямка головки) имеет контуры овальной формы. Рентгеновская суставная щель плече-лучевого сустава определяется в виде просветления дугообразной формы. Суставная щель плечелоктевогосустава имеет вид линейного просветления изогнутой формы. В боковой проекции головка мыщелка и блок плечевой кости наслаиваются друг на друга. Отчетливо видны головка и шейка лучевой кости.
Лучезапястный сустав на рентгенограмме обычно исследуют в прямой проекции (рис.6.12). Суставную щель лучезапястного сустава сверху ограничивает дистальный конец лучевой кости. С медиальной стороны запястная суставная поверхность лучевой кости дополняется хрящевым диском, отделяющим от сустава локтевую кость. Рентгеновская суставная щель дает просветление полуовальной формы, причем ширина просветления неодинакова. Она более узкая между лучевой и ладьевидной костями и более широкая между трехгранной и локтевой костями, так как хрящевой диск не выявляется.
213
Рис. 6.10 Рентгенограмма плечевого пояса. Возраст 8 лет.
1- ключица; 2- акромион; 3- клювовидный отросток лопатки; 4- головка плечевой кости; 5,7- проксимальный отдел плечевой кости; 6- суставная впадина; 8- лопатка; 9- ребра.
Рис. 6.11 Обзорная рентгенограмма правого локтевого сустава (А- прямая, Б- боковая проекция):
Суставы кисти. Наиболее часто для исследования кисти применяют прямую ладонную проекцию, для которой характерны лишь незначительные проекционные наслоения костей запястья (рис. 6.12). Между костями проксимального и дистального рядов запястья видна рентгеновская суставная щель среднезапястного сустава. Она имеет S-образную форму. Рентгеновские суставные щели пястно-фаланговых сочленений дают дугообразные лентовидные просветления одинаковой ширины во всех суставах. Между фалангами пальцев отчетливо видны
214
просветления – это рентгеновские суставные щели межфаланговых суставов. Межфаланговые суставы – типичные блоковидные суставы.
Рис. 6.12 Рентгенограмма костей и суставов кисти, правой.
1- radius; 2- processus styloideus radii; 3- os scaphoideum; 4- os trapezium; 5- os trapezoideum; 6- os metacarpale I; 7- os sesamoideum; 8- phalanx proximalis pollicis; 9- phalanx distalis pollicis; 10phalanx proximalis; 11phalanx media; 12phalanx distalis; 13os metacarpale V; 14hamulus ossis hamati; 15os capitatum; 16os hamatum; 17os pisiforme; 18os triquetrum; 19os lunatum; 20processus styloideus ulnae; 21ulna.
Рентгеновская суставная щель:
I- лучезапястного сустава; II- среднезапястного сустава; III- пястно-фалангового сустава; IV- межфалангового сустава.
6.1.6 РЕНТГЕНОАНАТОМИЯ СУСТАВОВ НИЖНЕЙ КОНЕЧНОСТИ Лобковый симфиз (хрящевое соединение между тазовыми костями с полостью внутри) на
рентгенограмме в прямой проекции представлен полосой просветления с четкими контурами (рис. 6.13).
Крестцово-подвздошный сустав образован ушковидными поверхностями крестца и подвздошной кости. При исследовании в прямой передней проекции эти суставы проецируются
в виде ромбовидной или овальной узкой полоски просветления в латеральном отделе крестца. Тазобедренный сустав образован впадиной тазовой кости и головкой бедренной кости. На рентгенограмме в прямой проекции (рис. 6.14) отчетливо видны суставные поверхности и рентгеновская суставная щель. Головка бедренной кости дает шаровидную тень с гладкими контурами. В этом месте выявляется углубление с неровными контурами. Рентгеновская суставная
щель представлена дугообразной полоской просветления.
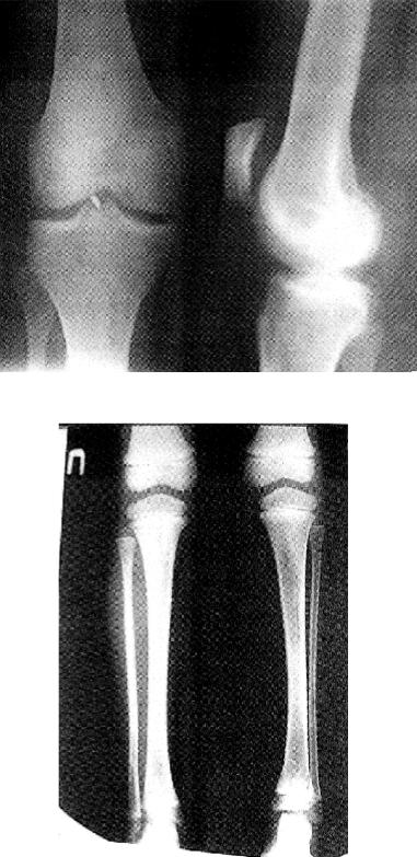
Коленный сустав исследуется в двух проекциях. В прямой проекции хорошо видны ровные контуры мыщелков бедра и большеберцовой кости (рис.6.15). В боковой проекции хорошо различаются овальные контуры мыщелков бедренной кости, тени которых наслаиваются друг на друга. Отчетливо виден надколенник. Рентгеновская суставная щель представлена полосой просветления, более широкой спереди и сзади (рис. 6.15).
Обзорные снимки коленного сустава показаны на рис.6.15.
215
Рис. 6.13 Обзорная рентгенограмма соединений тазовых костей (прямая передняя проекция).
1
4
5
2
3
Рис. 6.14 Рентгенограмма тазобедренного сустава, правого (зрелый возраст).
1- подвздошная кость; 2- лобковая кость; 3- седалищная кость; 4- «рентгеновская суставная щель»; 5- головка бедренной кости
Межберцовый сустав-это сочленение головки малоберцовой кости и малоберцовой суставной поверхности большеберцовой кости. Рентгеновская суставная щель этого сустава прослеживается в виде узкой, косой полоски просветления (рис.6.16).
Межберцовый синдесмоз располагается в дистальном отделе голени между малоберцовой вырезкой большеберцовой кости и медиальной поверхностью нижней части малоберцовой кости. На рентгенограмме данное соединение определяется в виде вертикально направленного просветления.
216
Рис. 6.15 Обзорная рентгенограмма костей коленного сустава в двух проекциях с законченным ростом костей. Инородное тело в суставной рентгеновской щели.
Рис. 6.16 Обзорная рентгенограмма костей голени и коленного сустава. Нижняя треть бедренной кости ребёнка с незаконченным ростом костей.
Голеностопный сустав образован нижней суставной поверхностью большеберцовой кости, суставными поверхностями лодыжек и блоком таранной кости. В прямой проекции все эти образования выявляются отчетливо (рис.6.17). Рентгеновская суставная щель голеностопного сустава представлена просветлением в виде буквы «П». В боковой проекции кости голени проекционно наслаиваются друг на друга (рис. 6.18). Рентгеновская суставная щель сустава представлена дугообразным просветлением равномерной ширины, просматриваемым на фоне теней лодыжек над блоком таранной кости.
217
1
2
3
4
Рис. 6.17 Рентгенограмма голеностопного сустава:
1- большеберцовая кость; 2- малоберцовая кость; 3- «рентгеновская суставная щель»; 4- таранная кость.
Суставы стопы исследуют в прямой подошвенной, прямой тыльной, боковой и аксиальной проекциях. В прямой подошвенной проекции хорошо выявляются фаланги пальцев, кости плюсны и частично кости предплюсны, отчетливо видны суставы между костями предплюсны. Они прослеживаются в виде просветлений различной формы и ширины. В частности, отчетливо определяется рентгеновская суставная щель поперечного сустава предплюсны (Шопарова сустава). Суставная щель данного сустава имеет S-образную форму. Суставная щель предплюснеплюсневых суставов (Лисфранков сустав) характеризуется поперечно расположенным просветлением, имеющим вид ломаной линии. В боковой проекции стопы из всех костей предплюсны отчетливо выявляется пяточная и таранная кости (рис.6.19). Клиновидные и кубовидная кости проекционно наслаиваются друг на друга, поэтому выявляются неотчетливо. В боковой проекции определяют форму и величину продольных сводов стопы.
Рис. 6.18 Рентгенограмма стопы (положение «на пальцах»):
1- большеберцовая кость; 2- малоберцовая кость; 3- пяточная кость; 4- таранная кость; 5- ладьевидная кость; 6- медиальная клиновидная кость; 7- кости плюсны; 8- проксимальная фаланга большого пальца стопы.
218
